Business Login
Register
Personal Login
Home
Dental news
Clinic Pages
Gallery
Dental clinics
Dental laboratories
X-ray Labs
Companies
Find a dentist
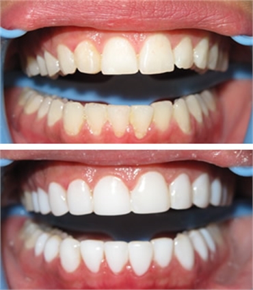
composite veneers lebanon
Ferrari Dental Clinic
Image by
Dental clinic Ferrari Dental Clinic
| Lebanon, Horch Tabet- dimitri el Hayek street- facing Hilton Habtoor Hotel - Marc 1 center- 11 th floor , +96170567444
back
Contact us
Advertising with DentaGama
Terms and Conditions
Privacy Policy
Cookies Policy
Reviews Policy