Business Login
Register
Personal Login
Home
Dental news
Clinic Pages
Gallery
Dental clinics
Dental laboratories
X-ray Labs
Companies
Find a dentist
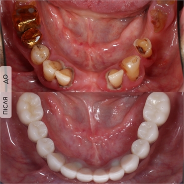
ALL ON 4 lower jaw
SYMBIOTYKA
Image by
Dental clinic SYMBIOTYKA
| Ukraine, Lviv, st. Kubiyovycha, 29 Lviv, Chervonoi Kalyny avenue, 58, +380672244001
back
Contact us
Advertising with DentaGama
Terms and Conditions
Privacy Policy
Cookies Policy
Reviews Policy