Alvogyl medication for dry socket treatment

August 29, 2021


A dental diagnosis for an infected tooth or its surrounding structures can often be one with a poor prognosis. In such cases removal of the tooth deems as the best treatment modality. A tooth extraction carried under the effect of a local anesthesia can help in carrying out the extraction procedure with ease. Once the effect of the anesthesia wears off, there is likely to be pain in the associated region. But with proper medications (analgesics and antibiotics), this pain subsides within 4 days. However, problems arise when the pain increases after 4 days and affects the quality of life of an individual.

 

Following a tooth extraction, the body's defense system forms a clot in the socket to protect the blood vessels and nerves that are present in that area. The clot eventually heals and a protective layer is formed that closes the socket eventually. However, in some cases the clot doesn't form or dissolves, which exposes the underlying blood vessels or nerves. This causes a lot of trouble to the patient and the pain can radiate to other nearby parts of the face too. This condition is called a dry socket.

 

A dry socket usually develops within the first week of tooth extraction and is facilitated by other habits or conditions as well. Smoking after tooth extraction can delay the formation of clot, a systemic vascular disorder may not allow the formation of a clot or consumption of toxic chemicals may dissolve the clot entirely. A dentist diagnoses a dry socket by assessing the area of the extracted tooth and checking the status of healing. The dentist may also check if the patient is having bad breath or not. Later, an appropriate medicament is placed over the dry socket after thoroughly irrigating the area to clear it from debris or any other necrotic material.

 

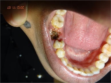
Zinc Oxide Eugenol (ZOE) has been commonly used in the treatment of dry sockets. Another medicament, the Alvogyl or Alveogyl has proven to heal the dry socket faster than ZOE. It was first introduced in the 1930s. Alvogyl comes in a jar of 12 grams. It contains 27.5 grams of Butamben, 15.8 grams of iodoform and 13.7 grams of eugenol. Apart from these three active ingredients, Alvogyl also contains olive oil, spearmint oil, sodium lauryl sulfate, calcium carbonate, penghawar djambi, fibers derived from the brackenfern, cibatium barometz, and purified water. It is a brown fibrous paste that is placed with sterile gauze onto the dry socket. The fibrous consistency helps in better adherence of the paste to the tissues.

 

Before placing Alvogyl, it is important to thoroughly irrigate the socket with betadine and sterile saline. Butamben in Alvogyl acts as a local anesthetic and numbs the area causing the pain. The iodoform content acts as a disinfectant and thus eliminates infectious microbes. Eugenol is an analgesic and thus suppresses the pain due to dry socket. These factors help the tooth in healing. In a span of 10 days, the Alvogyl dressing may need to be changed 2 to 5 times. No more than 0.2 grams of the Alvogyl paste should be placed on the dry socket. It is a resorbable paste and thus gets eliminated over time. After 10 days the patient must visit the dentist to check the status of healing and to get a new dressing if required.

 

During the healing process, the patient might observe a whitish patch in the area where the Alvogyl is placed. This is nothing but the granulation tissue and the patient must not be alarmed by it. This tissue indicates the beginning of wound healing. Once the new blood vessels grow in that area, the color will gradually become red and later nearly resemble the pinkish hue of the gingiva.

 

The Alvogyl jar needs to be kept at a temperature between 15-30°C and must not be frozen. If consumed accidentally, then the patient must consult his or her dentist. If a patient is allergic to eugenol, then they should let their dentist know beforehand. Moreover, in pregnant and lactating patients, Alvogyl needs to be used with caution. Alvogyl is a one-step solution for a painful condition like dry socket and should not be used by the patient without proper guidance.