How to deal with teeth abrasion?

May 19, 2014


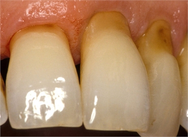
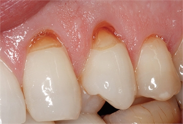
Teeth abrasion is a dental condition that involves the disintegration and loss of tooth structures usually caused by external forces such as toothbrushes and toothpicks. This condition starts by attacking the typically strong outer cover part of the tooth known as the enamel. Once past the enamel, tooth abrasion quickly destroys the much softer dentin and cementum tooth structures. This stretches onto the teeth roots, dismantling the roots and teeth gums holding your teeth. Since the enamel is usually tough to disintegrate, this condition usually starts from a weak-point enamel part of the tooth that is known as the cemento-enamel junction (CEJ). This junction is usually thinner than the other parts of the outer tooth cover thus allowing for quick erosion of its structure.

 

Consequences of tooth abrasion to your oral health

Dental abrasion is known to cause sensitive teeth as a result of its ability to wear away the tooth’s outer cover. Sensitive teeth are detrimental to your oral health state as such teeth will not allow you to take certain food products. Consuming hot, cold or acidic foods might prove to be very disastrous and painful.

Tooth abrasion can also cause your gums to recede and therefore lose the much needed grip that is important for healthy teeth. Your facial look can be affected greatly since the premolars and canines turn out to be the most affected teeth by this dental condition. This might affect your confidence in smiling and speech. The condition is known to cause severe sensitivity or even pain if left untreated.

 

What is the difference between dental attrition, abfraction, erosion and abrasion?

 

Care and treatment

You are advised to brush your teeth in a gentle way so as not to damage your teeth structure or the gums holding the teeth. You should always use soft or medium bristle toothbrush to avoid overbrushing. You are also advised to be careful while removing stuck up food from your teeth using toothpicks and any other items. You should avoid pricking your teeth gums or using unrecommended cleaning alternatives like miswak. You should also ensure that you maintain a perfect oral hygiene in order to prevent oral bacteria from infecting the weak areas.

Treating dental abrasion mainly involves the use of dental fillings to fill in the gaps and protect the teeth structures. The use of root canal treatment procedures for severe abrasion is also one way of ensuring that the sensitivity will be reduced to a minimum.

 

Dentist Advice

It is estimated that three out of every ten homes in the world have been affected by the dental abrasion. A consultation with your dentist or dental hygienist is the best way to prevent the development of bad habits and close monitoring for initial signs of teeth wear.

You may also be interested in: 

What is dental abfraction?