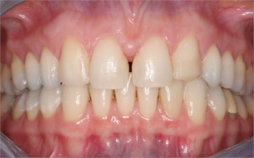
Diastema

January 12, 2015


When a gap develops between two teeth, it is called diastema. Generally, it is seen between the upper front teeth, though it can happen between any two adjacent teeth. As it is immediately visible when one smiles, it is often a cause for concern due to aesthetic reasons. Though it is commonly observed in children, it frequently closes on its own, requiring no intervention.

 

Cause

There are several reasons why this gap appears in some people. These can be due to physical causes, disease or due to harmful habits:

  • In some cases, the teeth are small while the jaw is disproportionately large. This leads to noticeable space between teeth.
  • An abnormally large labial frenulum that extends between the upper teeth does not let the space between the two to close naturally. Normally this band of tissue connects the upper lip and the gum.
  • Thumb sucking that continues beyond a certain age pulls the front teeth outward, thereby creating a gap.
  • Abnormal swallowing, commonly known as tongue thrusting, is another habit that contributes to diastema. This tendency pushes the front teeth outward.
  • Besides these, advanced gum disease damages bone around the teeth and loosens them. This makes them prone to drifting eventually leading to a gap.
  • In some cases, teeth may simply be missing due to disease or injury.

 

Treatment of diastema (diastema closure)

Treatment primarily depends on the underlying cause. If left untreated diastema caused by difference in size is likely to remain the same. But if it is caused by tongue thrusting or even disease then the gap is likely to widen further.

  • If the space is due to small teeth, then among the options are composite bonding, veneers or crowns to cover the gap.
  • A frenectomy(surgery) may be needed to cut an unusually large frenulum. If done at a young age, the space closes on its own. However, for an older child, braces may be needed to bring the teeth together.
  • Braces may be the best option where diastema has been caused by thumb sucking or tongue thrusting. But the success of the treatment depends on kicking these habits, or a relapse is likely to occur.
  • Space that has been created by teeth lost due to injury can be filled with dental implants or even partial denture.
  • Where teeth and the bone surrounding them have been damaged due to periodontal disease, then treatment begins first with eradicating gum disease and infection. This is followed by closing the gaps with braces, if possible. If a tooth extraction becomes unavoidable, then again a dental bridge or implant may become necessary.

In the case where braces have been used, a relapse may occur after some time. This problem can be dealt by the use of a retainer that may be bonded from the inner side so that the teeth do not drift apart again.

Often people, especially adults do not want to face the discomfort and inconvenience of braces. One can, in such situations, opt for restorations with bonded composite or veneers.