Enamel infraction

September 13, 2021


The enamel is a hard tissue that forms the outermost covering of the tooth. It is the hardest substance in the human body, containing nearly 96% inorganic material. Traumatic injuries to the teeth can affect the tooth at varying depths. Some injuries can affect the enamel, while some others can affect the underlying tissues (dentin and pulp) or the root of the tooth.

 

In each case, treatment modalities vary depending on the health of the tooth after trauma. In this article, we shall discuss about enamel infraction, which is the least harmful injury that a tooth can suffer from. These enamel infractions may also develop through iatrogenic damage done during a dental procedure.

 

"Infraction" is derived from a French word and was first used in the 13th century to describe the breaking or weakening of an agreement. Enamel infractions are thus represented by small micro-cracks on the tooth surface that do not cause any loss of tooth structure. In fact, depending on the etiology, the micro-cracks are indicative of whether the tooth is prone to further damage or not.

 

Symptoms of tooth enamel infraction

 

Patients with enamel infractions rarely develop any symptoms of pain. Usually, the front teeth are more prone to infractions compared to the back teeth.

 

How to diagnose enamel infraction

 

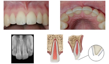
Enamel infraction is characterized by cracks in tooth without the loss of any tooth structure. A patient might not necessarily observe these cracks and usually is detected in routine dental examination. These micro-cracks can be a result of minor trauma. Diagnosis is usually done by a method called transillumination. In this, light rays of specific wavelength are directed on the tooth surface which help in identification of the cracks.

 

Further test to be carried out in the presence of enamel infraction

 

Following a diagnosis of enamel infraction, the dentist asks the patient for a history of sensitivity in the affected tooth. The tooth is also checked for discoloration. These investigations help in knowing if an damage is done to the underlying tissues. There is a less than 5% chance that a tooth with infraction has got its pulp tissue necrosed. In such cases a root canal treatment is usually carried out. The dentist also checks for mobility of the tooth. A moving tooth might need to be splinted depending on the degree of mobility and the health of the root and surrounding bony tissues.

 

A radiograph of the affected tooth may also be needed. This gives us an indication of whether the tooth has developed any deeper fracture, haemorrhage, inflammation near the tissues, etc. The position of the apex of the root is observed keenly to check for signs of any abnormalities like concussion, intrusion or luxation of the affected tooth.

 

 

Tooth enamel infraction treatment options

 

Treatment usually involves filling up the micro-cracks with a material named composite resin. It is available in two forms: flowable (liquid) and packable (solid). Liquid form of composite resin is usually used to fill up these micro-cracks. In order to apply this composite resin, the affected area us first etched with an acid that leads to the formation of micro-porosities. The flowable resin is then applied, that locks within these micro-porosities. Finally, a light of a specific wavelength is directed to the resin that accelerates its setting.

 

Another option is to cover the teeth with veneers. These treatment modalities help in restoring the strength of the tooth and avoid any discoloration of the affected tooth.

 

In many cases the tooth may not require any treatment at all and the tooth can simply be kept on a follow-up.

 

Follow-up of a tooth treated for enamel fraction is almost always favorable. The ideal follow-up should show the tooth as asymptomatic, respond to sensitivity tests and should show progression of root growth (if the affected tooth is an immature permanent tooth). An unfavorable outcome would be a tooth that shows signs of discomfort, does not respond to sensitivity tests, discoloration of tooth, tender on percussion or lack of root development in immature permanent teeth.

 

Enamel infractions are usually harmless and can be treated with minimally invasive and conservative procedures. However, a history of the nature of the trauma is key to determining and diagnosing the extent of the damage the tooth may have gone through. Thus, enamel infractions should not be worrisome for the patient, but must certainly go through a thorough checkup.