How acid reflux and GERD can damage your teeth?

December 26, 2020


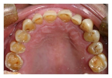
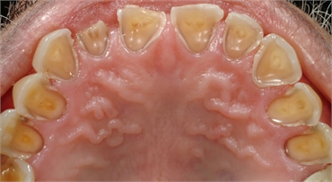
Erosion of the enamel is a common indication that a person may have Gastroesophageal reflux disease (GERD). And because not everyone with GERD has symptoms of heartburn, the dentist may be the first to identify the condition based on patterns of erosion. This is another reason why it is important for patients to maintain annual visits to their dentist.

 

What is GERD?


GERD, more commonly known as acid reflux, occurs when the muscle at the lower portion of the esophagus (lower esophageal sphincter) does not shut properly or randomly remains open for some time. This allows the contents of the stomach, especially highly acidic juices, to leech back up into the tube that connects the stomach and mouth (esophagus) causing irritation and dental erosion.

 

Many people experience mild acid reflux from time to time. And occasional reflux is not something to worry about. It is when reflux happens more frequently over a period of weeks that the condition becomes a concern. GERD is moderate to severe reflux that occurs at least once a week, or mild reflux that occurs at least twice a week. GERD can make daily life uncomfortable, but can also lead to more serious problems like ulcers and esophageal cancer.

 

What are the most common symptoms of GERD?
A few signs and symptoms of GERD include:
• Bad breath
• Sour or bitter taste in the back of the mouth
• Chest pain or a burning sensation in the chest (heartburn), especially right after eating
• Sensation of a lump in the throat
• Difficulty swallowing
• Regurgitation of sour liquid or food
• Vomiting
• Laryngitis
• Chronic cough
• Disrupted sleep
• New or worsening asthma

 

What is reflux-related dental erosion?


The stomach acid from GERD can eat away the enamel on teeth. Enamel is the outermost layer of teeth meant to protect the soft and sensitive inner layers. The pattern of erosion from acid reflux often starts with the back teeth and the inside surfaces of teeth. But in some cases, the chewing surfaces of the teeth can also suffer damage. Unfortunately, enamel loss is permanent and can increase the risk of dental decay.

 

How to protect teeth from reflux-related erosion


There are a few things patients can to do help protect teeth. Chewing sugar-free gum increases saliva production which can help neutralize the acid in the mouth. And desensitizing and fluoride toothpaste can help strengthen enamel. It is also important to avoid brushing teeth immediately after a reflux episode, as it may cause more damage to enamel weakened by acid. Instead, patients should simply rinse the mouth with water, or with baking soda and water to help neutralize the acid. But the most effective way to protect teeth from acid erosion is minimizing or preventing GERD.

 

How to prevent GERD


Most patients can manage GERD with over-the-counter medication and some lifestyle changes. First, it is important to avoid smoking and alcohol, as they increase the risk of GERD. A patient can also lower the risk of acid reflux by eating smaller portions, remaining upright after meals, and refraining from eating three hours before bed. It is also helpful to avoid trigger foods that are acidic, spicy, or high in fat.

 

That said, some patients who suffer from GERD may require stronger medications or even surgery to remedy symptoms. If a patient experiences frequent or severe GERD symptoms they should make an appointment with their doctor. And while GERD has nothing to do with the heart, some patients are afraid the chest pain means they are having a heart attack. GERD often causes burning or pain that moves from the chest up the neck and throat. But if chest pain is accompanied by shortness of breath and jaw or arm pain, dizziness, extreme fatigue, or sweating, it is important to seek medical attention as these symptoms may indicate signs of a heart attack.