Major aphthous ulcers

December 10, 2023


Aphthous stomatitis or canker sores are ulcerations that occur in the oral cavity. These can be single or multiple and are usually painful. Based on their shape and size, they are classified as major, minor and herpetiform. Here, we shall be focusing on major aphthous ulcer.

 

Etiology of Major aphthous ulcers also known as aphthous stomatitis

 

Any of the three forms of aphthous stomatitis do not have a specific etiological agent. There are multiple reasons that might trigger the aphthous formation.

 

• Genetic predisposition: Aphthous ulcers have an extremely high chance of being passed on to the next generation (90%).
• Mucosal healing defect: An important associated finding is the presence of a mucosal barrier. This mucosal barrier protects the soft tissue and prevents aphthous formation. However, traumatic histories and nutritional deficiencies (vitamins) can render it weak, paving the way for aphthous formations.
• Systemic diseases: Patients suffering from Crohn's disease, celiac disease, asthma or drug allergies are likely to develop aphthous ulcers.
• In females, aphthous ulcers formation is commonly seen during menstruation.
• Microbes of the Streptococcus group are associated with recurring aphthous ulcerations.
• Stress, is an acute psychological problem that may cause aphthous ulcers.


How do Mmajor aphthous ulcers present in the mouth?

 

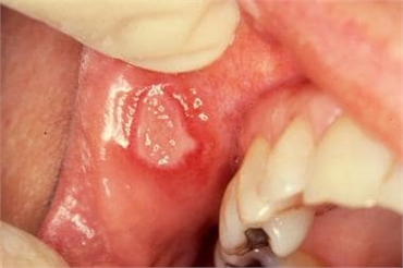
Major aphthous ulcers are also known as Sutton's disease. These ulcerations can occur at any age. They have an acute onset. This type of ulcer is painful initially but decreases gradually. A major aphthous ulcer is 1 to 3 cm in diameter. It is deeper than minor aphthous ulcers. The major aphthous ulcers are present in groups (1 to 10) and take 2 to 6 weeks to heal. They occur mostly after puberty.

 

Major aphthous ulcers are usually seen on the labial (gums approximating the front teeth) mucosa, soft palate and tonsils. These ulcerations are usually associated with lymph node enlargement. The margins or edges of these ulcers are inflamed. The base of these ulcers is not fixed. The size of these ulcerations can interfere with speech and eating. These lesions leave a scar after healing which leads to a localized destruction tissue in that area. Recurrent episodes of major aphthous ulcers may continue for 20 years after the first episode.

 

In a major aphthous ulcer, the patient might have prodromal burning. This means that there is itching and stinging for nearly 48 hours, after which the ulcer begins to grow for the next 72 hours. The lesion has a reddish hue which is at times covered by greyish membrane.

 

How to treat a major aphthous ulcer and aphthous stomatitis?

 

The first step of diagnosing major aphthous ulcers is reviewing the patient's medical history. The treatment on major aphthous ulcers includes diminishing the pain and shorten the duration of the ulcer. However, none of the medications are capable of preventing its recurrence.

 

Compared to minor variants, major aphthous ulcerations are resistant to mainstay therapy of topical agents. Hence, they need to be countered with stronger corticosteroids. Each lesion maybe covered with 0.05% clobetasol propionate gel or 0.05% halobetasol propionate ointment. A betamethasone syrup used in a swish and swallow method can also be highly effective. Triamcinolone tablets can also be dissolved directly over the lesions.

 

Major aphthous ulcers that occur near the tonsils are hard to reach. In these areas, beclomethasone aerosol spray can be used. Intralesional injections of triamcinolone acetonamide or betamethasone propionate (0.1-0.5 mL) are effective in retarding the growth of these ulcers. A systemic therapy can be initiated which includes prednisolone tablets (20-30 mg/day) and betamethasone (2-3 mg/day). The combination of intralesional injections and systemic therapy every 2 weeks for 2 months can decrease the growth of the major aphthous ulcer.

 

In the hunt for non-steroidal therapies, some of the drugs that have shown decent efficacy are tetracycline, chlorhexidine, dapsone, amlexanox and thalidomide. More studies are needed to ascertain them as definitive solutions for major aphthous ulcers.

 

Laser surgeries can be carried out for removal of major aphthous ulcers. These are usually CO2 lasers or Nd:Yag lasers. Laser treatments provide rapid pain relief. However, they require multiple visits and hence may not be suitable for each patient. In cases of single ulcers, application of 0.5% hydrogen peroxide as cautery agents can be used. Conventional cautery methods of using 1-2% silver nitrate solution are used even today, despite its major drawback of causing tissue necrosis.

 

Major aphthous ulcers can adversely effect the quality of life of an individual. The recurrence of these ulcers cannot be controlled and need to be managed as and when they appear.