Silver points in root canal treatment and endodontics

November 02, 2024


One of the most common treatment modalities in dentistry is root canal treatment. When a tooth is decayed, fractured or has an associated pathology, then a root canal treatment is recommended.

 

Following the removal of decay, the tooth's pulp is removed from the crown of the tooth. This exposes the root canal orifices. Next, the pulp in the root canal is removed. Irrigating solutions are then used to clean the root canal space and disinfect it simultaneously. The root canals are then shaped in a manner that enough space is created for a suitable material to fill up the pulp space. This biocompatible material is called an obturating material.

 

Obturation of the root canal is done with a material that seals the canal space, is antimicrobial, adhesive in the canal, does not stain the tooth, not hindered by moisture and can easily be distinguished on the radiograph.

 

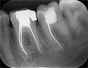
One of the earliest obturating materials were silver points. Silver possesses antimicrobial properties and is easily distinguished on a radiograph. It was first introduced in 1933 by E.A. Jasper. The material introduced by Jasper was stiff, and thus used in narrow & tortuous root canals. It was also easy to handle and placement within thin canals was much easier.

 

Silver points as obturating materials had a lot of disadvantages. To begin with, since they were introduced in the thinnest orifice with much ease, clinicians back then did not bother to clean and shape the canals adequately. This led to only partial disinfection of the root canals. Eventually, the tooth would become susceptible to infection.

 

Another disadvantage was that the stiffness of silver points did not allow them to snugly fit within the canal space. A liquid material called a sealer is used to adhere the silver points. Secondly, the silver points do not seal the canal space in all three dimensions. This leads to poor fitting of the silver points, resulting in voids that can be invaded by microbes. The lower third of the root canal is rarely sealed, and hence, chances of re-infection are high.

 

When the sealer that was used to adhere the silver points in the canal space is resorbed, it leads to the silver point coming in direct contact with tissue fluids. This causes metallic corrosion of silver points, resulting in release of chemicals like silver sulfide, silver sulphate, silver carbonate and silver amine hydrate. All of these are toxic chemicals and are harmful for the oral tissues. In fact, loss of underlying bone, lesions associated with the tip of the affected root and widening of the surrounding bony architecture have been often seen when silver points were used as obturating materials.

 

Ideally, once the silver points are placed, a little part of the cone is kept over the root canal orifice. This is because in cases of retreatment, the silver points can be easily removed. However, if this little part over the orifice is snipped off, removal of the silver points becomes very challenging.

 

Removal of silver points can be done with many methods depending on how snugly it is fit inside the canal and how large the orifice opening is. Ultrasonic tips, pliers and a few root canal cleaning instruments can help in retrieval of silver points.

 

The biggest challenger to silver points in the 1950s and 1960s was gutta-percha. Available in the form of cones, this material is today the material of choice for successful obturation of root canals. It is able to adequately fill the canal space in three dimensions and also has antimicrobial action. Moreover, its flexibility allows it to take the shape of root canals.

 

The American Association of Endodontists no longer recommend silver points as obturating materials. The cytotoxic silver salts released upon corrosion is a major factor in it being derailed from modern endodontic practice. Yet, knowledge of silver points is important as dentists frequently encounter cases where obturation was done with silver points. In these cases, it is important to educate the patient about silver points and how retreatment with a better material like gutta-percha can avoid further derailing of the tooth's condition. An assessment of the tooth and its surrounding bony architecture must be done with radiographs before opting for a root canal treatment again.