What are dental mamelons?

May 12, 2021


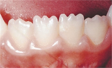
Mamelons in the oral cavity are seen on the permanent incisors (front teeth). These are found on the biting or cutting surface of the incisors. The name mamelon is derived from a French word meaning nipple. This is because mamelons are shaped as rounded protuberances on the permanent incisors. They are rarely seen in deciduous incisors but are most often seen on permanent incisors. These structures are found on both the upper and lower incisors. These may or may not pose problems in the developing dentition.

 

The formation of mamelons takes place when the tooth itself begins to take shape during its formative stages. The incisors can be imagined as a structure made by the fusion of four groups of cells called lobes. These lobes are arranged such that three are placed in the front (facing the lips) and one at the back (facing the palate). During the developmental stages these lobes fuse to form a single entity but they end up as rounded prominences that we know as the mamelons.

 

It is speculated that mamelons are formed in order to help the permanent incisors break through the gingiva in order to erupt in the oral cavity. The height of mamelons in the upper teeth is such that the one on the left is slightly raised, the one in the centre is the smallest and the one in the right is at a lower height. In the permanent lower incisors, the mamelons are arranged at an equal height.

 

Mamelons are completely made of enamel. Unlike the other areas of the tooth that have an underlying layer of dentin (another hard tissue layer), mamelons do not have dentin. This makes them translucent in appearance. The mamelons appear even more prominent in patients who are suffering from conditions like dwarfism and KBG syndrome.

 

Mamelons get weared out with increasing age and eventually a flat line is seen on the incisors. The wearing out occurs as a result of the upper and lower mamelons brushing against each other during functional activities like speech and chewing. It becomes a matter of concern when an improper bite or aesthetic issues arise because of the presence of mamelons. The improper bite can either be an open bite or a deep bite. In an open bite, the upper and lower incisors fail to meet each other. As a result, the mamelons persist and thus pose aesthetic concerns. In a deep bite, the lower incisors get completely submerged and the upper incisors are placed in front. Yet again, the incisors do not meet each other causing the mamelons to persist.

 

The removal of mamelons can be done at a dentist's clinic in case someone wants to get rid of them due to aesthetic concerns. The dentist uses his dental drill and with the help of a disc or a bur, trims, contours and shapes the teeth accordingly. This procedure is quick, painless and does not require the administration of a local anesthesia.

 

Mamelons are often an important feature to consider when it comes to restoring the front teeth with tooth colored veneers and crowns. During tooth shade selection, a dentist has to select a hue such that the area of the mamelons is marginally translucent than the rest of the tooth. Accordingly, the prosthesis is made and delivered to the patient.

 

In forensic dentistry, mamelons play a crucial role in identification and determining the age of an individual. The first permanent teeth to erupt are incisors and the first permanent molars. They erupt between the age of 6 to 7 years. The permanent incisors will have mamelons whereas the deciduous ones won't have them. The amount of wear and tear on the mamelons also gives an insight into the individual's dietary habits.

 

Mamelons are harmless structures who get naturally trimmed down with progressing age. They more often cause aesthetic concerns and are easily countered by the evolving techniques in cosmetic dentistry. The removal of mamelons at a dental clinic is a permanent solution as they won't grow back. Moreover, they overall procedure is less time consuming and inexpensive. No issues are encountered in the bite pattern once the mamelons are removed.