What is a dental fistula?

September 16, 2021


A fistula is a medical anomaly first characterized in the 14th century as a long narrow ulcer. It is an abnormal communication that is present between any two biological structures. A dental fistula is usually associated with chronic inflammatory conditions of the tooth.

 

Dental fistual and its etiology

 

Dental fistulas are usually a result of long-standing decay in a tooth. The carious lesion usually extends from the enamel to the dentin, before finally reaching the pulp. The pulp is a soft tissue that holds the key to the sensory functions of the tooth. Thus, when the carious lesion reaches the pulp, the patient complains of pain. If ignored, the pulp can get necrosed over time, and the patient does not feel any pain because of the death of the sensory tissues. Over the period of time, the inflammatory lesion progresses to the root of the tooth.

 

When the infective material accumulates at the base of the root it results in the formation of the abscess. This abscess tries to find a way out to ease the pressure. This leads to the formation of fistula, a passage that connects the tooth to the external surface (gingiva).

 

Symptoms of fistula in the mouth

 

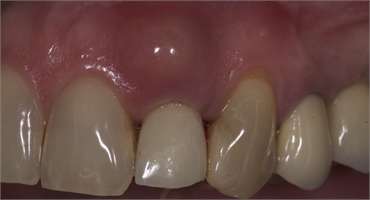
The patient who presents with a fistula does not usually complain of pain. The associated tooth is likely to be decayed. A reddish lump corresponding to the gingiva of the affected tooth might be observed with a whitish spot at its centre. This is a draining abscess that indicates that the pulp is necrotic. The fistula can be of periapical origin (associated with tooth apex), periodontal (associated with the ligament surrounding the tooth) or periosteal (associated with the underlying bone).

 

Diagnosis of dental oral fistula

 

Diagnosis of a dental fistula mainly involves determining the tooth with which the fistula is involved. This is done by taking an orthodontic wire of 0.01 mm diameter or a cone of gutta percha. The wire or the GP cone is inserted into the fistula gently. A radiograph is then taken which reveals where the cone or the wire have travelled. This helps us in knowing the associated tooth and the type of dental fistula.

 

Radiographs do not show a fistula because of the thickness of the bone under the tooth. But a radiolucency (blackish circle) at the base of the tooth's root is usually indicative that the fistula is likely a result of that periapical inflammation.

 

Dental fistula treatment

 

Treatment of a dental fistula with periapical origin is usually done through an endodontic or root canal treatment. The decayed portion of the tooth is removed and the infected root canals are thoroughly cleaned and irrigated through appropriate medicaments which remove all the necrotic content. The canals are then filled with an appropriate biocompatible material that restores the strength of the tooth. An antibiotic regime may also be prescribed in order to stop the spread of infection in between appointments.

 

In cases where a periapical fistula has developed in tooth that have already undergone an endodontic treatment, a re-treatment is necessary. A dental fistula is difficult to trace in patients suffering from chronic osteomyelitis since the bony architecture is already porous and inflamed and there is no single path of resistance due to which the fistula developed.

 

A fistula traced to the periosteal region (underlying bone) is not treated through endodontic treatment since it is not associated with a particular tooth. In such a case, incision of the fistula followed by drainage of the inflammatory exudate helps in resolving the soft tissue lesion.

 

Dental fistulas with periodontal (ligament supporting the tooth in the bone) origin are treated with a periodontal therapy. This involves curettage of the fistula.

 

Some other forms of fistulas are oronasal, orocutaneous and oroantral. The oronasal fistula is usually seen in patients of cleft palate. The orocutaneous fistula is an abnormal communication between the skin of the face and the oral cavity. An oroantral fistula is seen in relation with the posterior maxillary teeth which lie in close proximity to the maxillary sinus. Each of these fistulas can be due to malignancies, fractures, osteonecrosis and odontogenic infections. The treatment for each of these fistulas varies and is usually indicated towards resolution of the fistula by closing the abnormal communication and ridding of any infection.