What is distomolar tooth?

May 16, 2025


What is a distomolar tooth? It’s a rare dental anomaly that surprises many patients during routine X-rays. A distomolar is an extra tooth that forms behind the third molar, or wisdom tooth. While most people have 32 teeth, individuals with a distomolar may have 33 or more. Though uncommon, this condition can cause discomfort, crowding, or go completely unnoticed. Understanding what a distomolar is and how it can affect oral health is essential for early detection and proper management.

What Is a Distomolar Tooth?

A distomolar is a type of supernumerary tooth, meaning it is an additional tooth beyond the normal count. Specifically, distomolars develop distal to the third molars—hence the name. Unlike mesiodens (extra teeth in the front), distomolars appear at the back of the mouth, most often in the upper jaw.
Distomolars are usually rudimentary in shape, often conical or peg-shaped, and may not erupt at all. They are more commonly found in males and are frequently discovered through dental radiographs during unrelated checkups.

Causes of Distomolar Tooth Formation

While the exact cause of distomolar development is still debated, several theories exist:
• Genetic predisposition: Hereditary factors play a major role. If supernumerary teeth run in your family, your chances of having one increase.

• Dental lamina hyperactivity: Abnormal activity in the dental lamina during development can lead to extra tooth formation.

• Syndromic association: Although rare, distomolars may be linked to conditions like Cleidocranial dysplasia or Gardner's syndrome, but they can also occur in otherwise healthy individuals.

Symptoms and Complications

Many patients with a distomolar tooth experience no symptoms. However, when the extra tooth erupts or causes pressure, the following issues can arise:

• Crowding of adjacent teeth

• Impaction of third molars

• Difficulty cleaning, leading to increased risk of cavities or gum disease

• Jaw pain or discomfort

• Cyst formation in rare cases

Diagnosis: How Is a Distomolar Tooth Detected?

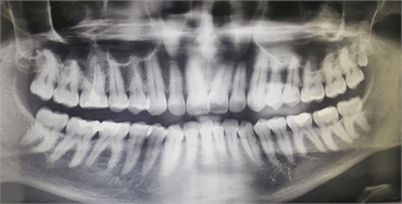
Most distomolars are discovered incidentally during dental X-rays. Dentists may recommend panoramic radiographs or 3D imaging like CBCT scans for precise visualization and treatment planning.

Key diagnostic indicators include:

• Tooth-like structures behind the third molars
• Impacted or unerupted teeth in the distal region
• Asymmetry or shifting of existing molars

Treatment Options for Distomolar Teeth

Treatment depends on the location, symptoms, and impact of the distomolar tooth. Common management options include:

• Monitoring: If the tooth is asymptomatic and not causing crowding or impaction, it may not require removal.

• Surgical extraction: If the distomolar is causing pain, infection, or dental misalignment, removal is often recommended. This is usually done under local or general anesthesia.

• Orthodontic treatment: In some cases, braces may be needed to correct any misalignment caused by the extra tooth.

Always consult with a dental professional or oral surgeon to evaluate the best course of action.

Distomolar Tooth vs. Paramolar Tooth

It's important not to confuse a distomolar with a paramolar. While both are types of supernumerary teeth:

• Distomolars appear behind the third molar.

• Paramolars are located beside the molars, usually on the cheek or tongue side.

Recognizing this distinction helps guide the proper treatment approach.

Conclusion

So, what is a distomolar tooth? It's a rare type of supernumerary tooth that forms behind the wisdom teeth. While it may go unnoticed in some cases, others may experience discomfort, misalignment, or even infections. Early detection through dental imaging and consultation with your dentist ensures timely and effective management. If you suspect an unusual tooth or experience jaw discomfort, don’t hesitate to seek a professional opinion—your oral health may depend on it.