What is thegosis in dentistry?

December 26, 2022


Our teeth are structures that are subject to constant stress be it mechanical or chemical, physiological or pathological. The dentition of primates and non-primates have evolved morphologically based on the effect that factors like diet, social behaviour and genetics have had on them. It was first proposed in 19th century that the grinding or abrasion teeth against each other destroyed the sharpness of the teeth. However, in the late 1960s, it was proven that there lies a whole different science behind the wearing of teeth. This was called thegotics, where "thego" was Greek for whetting or sharpening.

 

Thegosis is one of the modes through which teeth are sharpened through attrition. Tribology is the science that deals with the interaction between two surfaces when they are rubbed against each other. Thegosis is one of the disciplines of oral tribology that houses four components - the tooth, the opposing tooth, any foreign body between the two interacting teeth and the air which plays the role of an external factor.

 

Thegosis was an 'instinct' that humans developed in order to make their teeth sharp for their use as alternative weapons. This trait has been genetically passed on. It involves sliding of one tooth surface to the other in an angular direction which leads to sharpening of teeth and creation of facets. Facets on teeth are formed not only by thegosis but also by abnormal habits like bruxism (clenching of teeth), overzealous and improper toothbrushing and in some cases chewing food that may be abrasive in nature.

 

There is a major reason that sets thegosis apart from bruxism and mastication. While the two latter processes wear off the teeth and make them irregular, thegotic movements refine the tooth surface by making them sharper. Moreover, thegosis is more commonly observed in front teeth and less frequently in the back teeth.

 

Even though thegosis produces sharp teeth surfaces, it does not eliminate the fact that small cracks on the roughened enamel can be invariably be seen due to the angular sliding of teeth against each other. These cracks harbour the food particles, which can apparently trigger carious activities on the tooth.

 

For thegosis to occur, it has been proposed that increased acidity of the oral cavity and increased levels of stress are needed. The acidic environment weakens the crystals of the hard tissues of the teeth namely enamel and dentin. Increased stress evokes the innate grinding action of the teeth which causes microcracks and fractures in the already weakened hard tissues. Enamel debris further act as abrasive agents, that accelerate the thegosis activity.

 

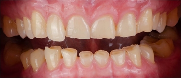
Tooth sharpening or thegosis becomes problematic over a period of time. The attrition leads to lack of contact between the opposing teeth, leading to a reduced vertical dimension of the face. Smiles can become unesthetic and teeth become more sensitive to different foods and liquids.

 

Clinically, if a patient presents with thegosis, then treatment methods are indicated towards recontouring the tooth shape, followed by restructuring it using a dental cement that is resistant to wear. Patients presenting with thegotic facets on the posterior teeth are advised to wear mouth guards.

 

Since thegotic activity causes wearing off of the hard tissues, many minerals are lost that contribute to the strength of the tooth structure. Patients are also advised to undergo a fluroide therapy, an element that contributes to the remineralization of the tooth. Toothpastes containing fluoride, CPP-ACP, Novamin, Hydroxyapatite, etc can be prescribed in order to retain the strength of the teeth.

 

Historically, thegotic activities were intentionally done by certain tribes from Asia, South America and Africa. Some cultures did so for aesthetics, some did it for reasons pertaining to their marital status and some believed to always keep their natural defenses intact.

 

Teeth sharpening or thegosis has been extensively studied in the field of anthropology and non-primates. Even though its concepts have been flawed and misunderstood by the advent of research on bruxism, it is important for clinicians to understand the fine line that separates these two activities. Thegosis is not entirely pathological or abnormal, while bruxism is. Thegosis can be difficult to diagnose compared to bruxism. Anamnesis and careful observation of the wear patterns of the teeth are mandatory in order to ascertain thegosis.