Why do I have black lines on my teeth?

April 17, 2025


Noticing black lines on your teeth can be alarming, especially when they appear suddenly or grow darker over time. If you’ve asked yourself, “Why do I have black lines on my teeth?” — you’re not alone. These lines can be caused by various factors, ranging from staining to dental decay. Understanding the root cause is the first step toward restoring your confident smile.

What Are Black Lines on Teeth?

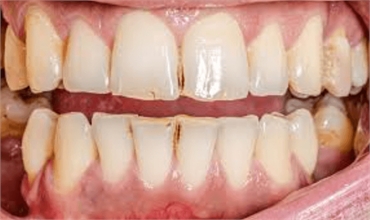
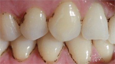
Black lines typically appear along the gum line, especially on the back molars or near dental restorations. These lines may look like fine streaks or dark borders and can range in color from dark brown to jet black. While often cosmetic, they can sometimes indicate underlying dental issues.

Common Causes of Black Lines on Teeth

1. Tartar Buildup

One of the most frequent causes of black lines is tartar, a hardened form of plaque that collects around the gum line. When tartar is left untreated, it can attract stains from food and drinks, leading to dark discoloration.

2. Chromogenic Bacteria

These bacteria naturally occur in the mouth and can produce pigmented compounds, especially in children. When combined with poor oral hygiene, they result in black stains that are hard to brush off.

3. Dental Restorations (e.g., Crowns, Fillings)

If you have metal crowns or amalgam fillings, you might notice dark lines near the margins. Over time, corrosion or staining can occur at the edges, making the line more visible.

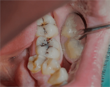
4. Tooth Decay

Cavities or decaying enamel can also appear as black lines. This is especially true in the pits and fissures of molars, where food debris and bacteria tend to collect.

5. Smoking and Diet

Smoking, along with consuming dark-colored foods and beverages like coffee, tea, and red wine, can stain teeth and enhance the appearance of dark lines—particularly where plaque is present.

Are Black Lines on Teeth Harmful?

While some black lines are simply cosmetic, others may indicate dental problems such as decay or gum disease. It’s important to consult a dentist to determine the underlying cause. Early intervention helps prevent more serious issues like tooth loss or periodontal disease.

How to Prevent Black Lines on Teeth

Maintain Proper Oral Hygiene
• Brush at least twice a day using fluoride toothpaste.
• Floss daily to remove food particles and plaque between teeth.
• Use an antibacterial mouthwash to reduce chromogenic bacteria.

Regular Dental Cleanings

Professional cleanings every 6 months can remove tartar and detect early signs of decay or gum disease.

Lifestyle Changes

Avoid or limit staining substances like tobacco, coffee, and red wine. If you do consume them, rinse your mouth with water afterward.

Treatment Options for Black Lines

If you're dealing with stubborn black lines, your dentist may recommend:
Professional Teeth Cleaning – Removes tartar and surface stains.
Whitening Treatments – Lightens discoloration from staining foods or drinks.
Replacing Dental Restorations – Upgrading to ceramic or composite fillings can eliminate the dark line around metal fillings.
Cavity Treatment – Fillings or dental crowns may be needed for decay-related black lines.

When to See a Dentist

If the black lines are increasing in size, causing discomfort, or don't go away with regular brushing, it’s time to see your dentist. A proper diagnosis ensures the issue is cosmetic and not a sign of something more serious.

Conclusion

So, why do you have black lines on your teeth? The answer could be as simple as tartar buildup or as complex as tooth decay. Whether cosmetic or clinical, these lines shouldn’t be ignored. Maintaining good oral hygiene, scheduling regular dental checkups, and seeking timely treatment are key to keeping your teeth clean, healthy, and stain-free.