What are Mulberry molar teeth?

February 19, 2022


Watching primary baby teeth be replaced by secondary permanent teeth can be an exciting time. Typically, the process begins with the front teeth when children are about five or six years old. The first molars do not take long to follow, which is why they are often called the 6-year-old molars. Patients will have two molars on the bottom and two molars on the top. But in some cases, these new molars do not have a normal shape and this can be alarming for parents. Here is what patients and parents need to know about mulberry teeth.

 

What are mulberry molars?


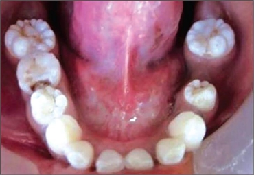
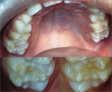
With mulberry teeth, the first molars are dwarfed by small occlusal surfaces and often have disorganized globular projections. The roughened surfaces of teeth is reminiscent of mulberry fruits with many small bumps, hence the name.

 

What causes mulberry molars?


Mulberry molars are associated with congenital Syphilis. Syphilis is a sexually transmitted disease and pregnant women transmit the disease to infants either during birth or through the placenta. Unfortunately, newborns infected with Syphilis do not often show signs or symptoms. The disease may stay undetected at first, but later parents might notice symptoms such as tooth abnormalities like mulberry teeth or Hutchinson’s teeth. This is why it is important to get tested for Syphilis during pregnancy. Mulberry teeth are also associated with other conditions that cause thin enamel, but these cases are not as pronounced

 

How to diagnose mulberry molars?


Mulberry teeth are uncommon. But the condition is easily recognizable and dentists should be able to identify it as soon as the bumpy surface of the teeth has been noted. Then dentist may suggest a blood test to confirm Syphilis. The test checks for a specific antibody produced in people with the condition. And because the antibodies that fight Syphilis can remain in the body for years, the physician can tell if a patient was ever infected—even if it was a long time ago.

 

Is there treatment for mulberry molars?


With mulberry teeth, the bumpy surface of the tooth increases the risk of cavities. For this reason, many dentists recommend crown restorations for mulberry teeth. Dental crowns will help strengthen teeth and improve aesthetic appearance. It is important to speak to a dentist about which treatments might work best.

 

Is there treatment for syphilis?


For children, the treatment for syphilis itself is important. Without treatment, the Syphilis bacteria can cause severe damage to the heart, brain, or other organs. Most pediatricians will recommend penicillin as an antibiotic to fight off the illness. For patients allergic to penicillin the physician might prescribe different antibiotics.

 

Syphilis can be a dangerous infection for children, especially if it goes undetected. And other symptoms of the infection can come and go over the years. Dentists are in a unique position of possibly being the first medical professional to notice symptoms of the disease. And once it has been detected it is important to have the underlying cause treated.