What are wear facets on teeth?

July 17, 2020


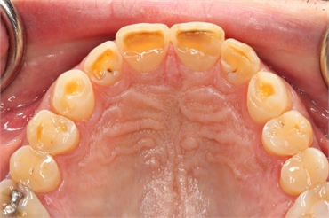
Sometimes, the surface of your teeth might appear worn out. This worn out appearance resembles a plane polished tooth surface, whose edges may be sharp or rounded. The worn out surface can be any tooth surface. It might be the surface that helps in chewing, the surface that corresponds to the cheeks or the surface in proximity to the tongue.

 

Literally, facet refers to one side of a structure with multiple surfaces. Wear facets are caused by mechanical or chemical factors that have nothing to do with tooth decay. The occurrence of these facets can be explained through processes called attrition, erosion, abrasion and abfraction.

 

Attrition

 

'Atterere' is a word in Latin which mean rubbing against something. Attrition occurs when the upper and lower teeth are grinded against each other so harshly that it goes on to wear the chewing surfaces of the teeth. It gets worse in people with deep bite as the attrition forces act on those surfaces of the teeth that correspond to the cheeks (buccal) and the tongue (lingual/palatal). In some cases a coarse diet may also lead to wear facets. The abnormal grinding of the opposing teeth is many a times seen in people with a habit of firmly clenching of their teeth (bruxism). In some other cases, a tooth may get worn out, if it is grinded against an opposing tooth bearing a porcelain crown.

 

Abrasion

 

It is often seen that some people develop a wear facet pattern that is seen on the cervical half of the tooth's crown. This occurs because of the action of a foreign body that is vigorous enough to abrade the tooth's surface. This can be due to toothbrushing forcefully in the horizontal direction, false use of the dental floss, excessive use of smoking pipes, nail biting, etc. These wear patterns are often distinguished by the characteristic concave notch that forms near the interface of the tooth's crown and the gums on the buccal surface.

 

Erosion

 

Attrition is physiological, abrasion is mechanical whereas erosion is chemical. It occurs when the tooth "corrodes" by the consumption of various acids from certain foods and drinks. It is most commonly seen on the back surfaces of the upper front teeth and on the chewing surfaces of both upper and lower teeth. People with a tendency of gastrointestinal disorders which involves frequent vomitting, rumination, etc are likely to develop wear facets due to erosion.

 

Abfraction

 

Abfraction leads to enamel breaking away functionally. When the teeth undergo certain stress or load, the areas where the enamel is thin, withers away, forming a lesion that is characterized by a wear facet present at the margin of the gums and extending a bit more deeper towards the roots.

 

Why do wear facets need to be corrected?

 

When the tooth wears down, the reduced width causes certain nerve endings to react to various stimuli like chnge of temperature and pH (acidity). The tooth also gets discolored due to the wearing of the enamel and exposure of the underlying dentin. Wear facets on the chewing surface lead to an open bite with the opposing teeth failing to meet each other. This can also lead to dysfunction of the musculature helping in chewing and changes within the TMJs. Needless to say, wear facets make the smile unaesthetic. In more severe cases, the tooth might become weak enough to drift from its original spot or become mobile. People with existing of dental restorations might experience the breaking of these fillings.

 

How are wear facets treated?

 

It is important to identify the type of wear facet and the mechanism that might have caused it. Depending on that, the dentist decides what the treatment plan will be. In case the teeth are attrited excessively, the tooth may be restored with crown, keeping in mind the opposing arch teeth are met adequately. Crown lengthening procedures can also be advocated by the dentist. This is done by an orthodontist who can extrude the tooth through certain appliances. Mobile teeth may also be immobilized by a procedure called splinting that binds the teeth in a fixed place. In some cases, when teeth suffer from intense wear and tear, they lose their inherent blood supply. Hence, a diagnostic test known as pulp vitality test can also be done to determine whether the tooth is vital or not.

Wear facets need immediate attention for the range of problems that they can cause. Hence, a dentist's intervention is of foremost importance in order to restore the aesthetic and functional features of the teeth.