What is bruxism?

July 02, 2015


What is bruxism?
Bruxism Effects
Bruxists grind down their teeth
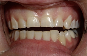
Bruxing is causing teeth wear
Effects of bruxism - people that clench and grind their teeth are more prone to attrition defects, abfraction lesions and gum recessions.
Bruxing can be described as the customary gnashing, clenching or grinding of the teeth wherein individuals tighten or rub their teeth together. What sets it apart from regular chewing is that these actions are done involuntarily when the person is not eating. Bruxists are not aware of it as the symptoms are not immediately noticeable. In fact, it is often noticed by a bed partner rather than the patient. Bruxism can cause long term effects often leading to tired jaws, tender facial muscles, headaches, TMJ pain, teeth that are hypersensitive, chipped, worn and so on. 
 

Causes of bruxism

 
In the past, teeth clenching and grinding were considered to be caused by dental causes. However, bruxism has several contributing factors and the way people deal with stress and anxiety is also a reason for bruxism. It can be attributed to several dental, psychological, or systemic factors. 
 
  1. Dental factors: Occlusal interference such as a tooth that is differently shaped or crooked may interfere with the normal closing of the jaws. The natural reflex is to compensate it by moving the jaws laterally. A new dental restoration that is higher than the adjacent teeth can also be the reason for bruxing
 
  1. Psychological factors: Personality issues form the base for psychological factors associated with bruxism. People who suffer from this habit are often aggressive and competitive in nature. Such conditions may be due to personal issues and suppressed emotions like anxiety, aggression and stress. Individuals with a background of family problems, stress and sleep disorders are also prone to bruxism.
 
  1. Systemic conditions: Calcium and magnesium deficiency, intestinal parasites in children, endocrine disorders and allergies can be the factors implicated for this disorder.
 
  1. Medication: Teeth grinding can be caused by medications prescribed for depression, Parkinson's disease and attention deficit disorder. It is also worsened by stimulants like caffeine and alcohol. It is particularly noticeable with recreational drug use. Drug addicts tend to grind and clench their teeth due to the excitement and the adrenaline they receive after the drug intake.
 
 

Impact on dental health

 
Teeth do not normally touch when the jaws are at rest. Repeated episodes of teeth grinding and clenching can exert considerable force and lead to dental damage. However most bruxists do not report dental pain, which is one of the reasons it goes unnoticed.
 
  1. The most common damage is to the biting surface of the molars and the incisal edges of the incisors and canines
  2. Bruxism has an adverse effect on dental restorations and is often the cause for chipping and fractures of the crowns and fillings
  3. It is one of the factors that leads to tooth mobility, i.e. teeth movement that exceeds 1mm
  4. Although bruxing does not cause gum disease, it is likely to worsen an existing condition
  5. Other effects within the mouth include cheek biting and notches on the tongue
  6. Sufferers of this disorder are also likely to suffer from TMJ pain, jaw locking and limited mouth opening
  7. Another noticeable feature is excess cheek muscles development and facial pain

You may also be interested in:

What is the difference between clenching, grinding and bruxing?

Comments

Be the first to comment on this article

Please register if you want to comment
 

Partners and Sponsors

Copyright © 2024 DentaGama All rights reserved