DENTINOGENESIS IMPERFECTA

June 03, 2022, Devident

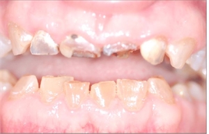
Note the shell tooth appearance with absence of pulp chambers in them.
DENTINOGENESIS IMPERFECTA TYPE 2
It is one of the developmental disturbances of teeth causing tulip shape appearance of teeth.

This disorder is caused due to the defect in Dentin Sialophosphpho Protein gene.

CLINICAL FEATURES

The affected teeth appear gray to yellowish brown and have broad crowns and

constricted root giving it an appearnce of tulip shape.

RADIOGRAPHIC FEATURES-

The teth appear solid lacking pulp chambers and root canals.

They can be further classified as Type-1 and Type-2

Type-1

The teeth appear blue - gray or amber colored.

R/F

They have bulbous crowns, narrow roots normal pulp chambers and smaller root canals

Type-2

They can be distinguished from Type-1 due to the presence of multiple pulp exposures, non mineralized pulp chambers and presence of shell teeth.

Shell Teeth

They demonstrate normal enamel with extremely thin dentin and dramatically enlarged pulp chambers. 

 

Comments

Be the first to comment on this article

Please register if you want to comment
 

Partners and Sponsors

Copyright © 2024 DentaGama All rights reserved