Dental Bridge How Long Does It Last

May 28, 2024, Shopton Dental

Dental Bridges
Dental Bridges
This blog examines the lifespan of dental bridges, covering factors that affect their durability and tips for extending their life. It includes an overview of bridge types, materials, signs of wear, and alternatives, offering essential insights for current and prospective bridge users.

1. Introduction

Dental bridges play a crucial role in restorative dentistry, providing a reliable solution for replacing missing teeth. Understanding the lifespan of a dental bridge is essential for patients seeking to maintain their oral health and function. This article delves into the factors influencing the longevity of dental bridges and offers practical advice for extending their lifespan.

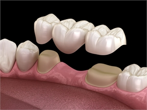
2. Understanding Dental Bridges

Dental bridges are prosthetic devices used to fill the gap created by one or more missing teeth. Anchored to the adjacent teeth or dental implants, bridges restore the function and aesthetics of the patient's smile. Various types of dental bridges cater to different needs, including traditional, cantilever, Maryland, and implant-supported bridges.

3. The Procedure for Getting a Dental Bridge

The process of obtaining a dental bridge involves several steps. Initially, patients undergo a consultation where the dentist assesses their suitability for a bridge. The abutment teeth are then prepared by removing a portion of the enamel to accommodate the bridge. Impressions of the teeth are taken to create a custom bridge, and a temporary bridge is placed to protect the exposed teeth and gums. Finally, the permanent bridge is fitted and adjusted for comfort and functionality.

4. Factors Affecting the Longevity of a Dental Bridge

The lifespan of a dental bridge is influenced by multiple factors. The quality of the materials used, the patient's oral hygiene practices, dietary and lifestyle choices, and regular dental check-ups all play significant roles. High-quality materials and diligent care can significantly extend the life of a dental bridge.

5. Types of Dental Bridge Materials

Dental bridges can be made from various materials, each offering distinct advantages. Porcelain bridges are aesthetically pleasing, matching the natural tooth color. Metal alloys, including gold and silver, provide durability. Porcelain-fused-to-metal combines strength and aesthetics, while zirconia bridges are known for their exceptional durability and natural appearance.

6. Average Lifespan of Different Types of Dental Bridges

The lifespan of dental bridges varies depending on their type. Traditional bridges typically last 10-15 years, cantilever bridges have a similar lifespan, Maryland bridges can last up to 10 years with proper care, and implant-supported bridges often last 15 years or longer, reflecting their robust nature.

7. Signs Your Dental Bridge Needs Replacement

Patients should be aware of signs indicating their dental bridge may need replacement. Common indicators include noticeable wear and tear, discomfort or pain, looseness or movement of the bridge, and changes in the bridge's appearance. Prompt attention to these signs can prevent further complications.

8. Extending the Life of Your Dental Bridge

Maintaining a dental bridge involves excellent oral hygiene, including regular brushing and flossing. Avoiding hard and sticky foods that can damage the bridge is also crucial. For patients who grind their teeth, using a night guard can protect the bridge from undue stress. Regular professional cleanings and dental check-ups ensure the bridge remains in optimal condition.

9. Alternatives to Dental Bridges

While dental bridges are a popular choice, alternatives such as dental implants, dentures, and partial dentures are also available. Dental implants provide a permanent solution by anchoring directly into the jawbone, while dentures and partial dentures offer removable options for tooth replacement.

10. Conclusion

Dental bridges offer a durable and aesthetically pleasing solution for replacing missing teeth. By understanding the factors that affect their longevity and adopting proper care practices, patients can maximize the lifespan of their dental bridges. Regular dental visits and attention to oral hygiene are key to ensuring the continued success and functionality of a dental bridge, contributing to overall oral health and quality of life.

Comments

Be the first to comment on this article

Please register if you want to comment
 

Partners and Sponsors

Copyright © 2024 DentaGama All rights reserved