How To Prevent Dental Plaque in Simple Ways

March 24, 2019, Prescott Dental Arts

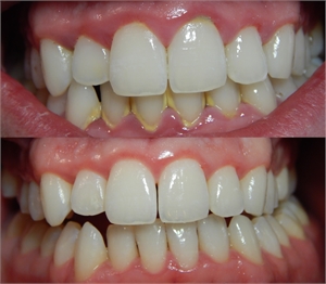
By Onetimeuseaccount - Own work, CC0, https://commons.wikimedia.org/w/index.php?curid=27756041
By Onetimeuseaccount - Own work, CC0, https://commons.wikimedia.org/w/index.php?curid=27756041
Plaque can be removed with good oral hygiene, brush your teeth at least twice a day, gargle with mouthwash, and floss daily. But when it is already become hardened tartar, it must be removed by a dentist or a dental hygienist.

Plaque is the soft and sticky mass of bacteria that forms and build up on the surfaces of your teeth.If they are not removed, they can harden to become tartar and can cause cavities and gum disease. Plaque can cause inflammation and irritation to the gums around your teeth which can lead to gingivitis, bad breath and eventually to periodontal disease.

Plaque can be removed with good oral hygiene, brush your teeth at least twice a day, gargle with mouthwash, and floss daily.  But when it is already become hardened tartar, it must be removed by a dentist or a dental hygienist. Plaque begins when foods with sugars and starch are left on your teeth. Acids will be produced when the bacteria feeds on these food debris in your mouth, these acids in turn will cause tooth decay and destruction of the bones that supports the tooth. This situation will increase by many folds if the person does not give importance on dental hygiene.

Ways to prevent dental plaque build-up:

  • Brush your teeth at least twice a day with toothbrush with soft bristles.
  • Replace your toothbrush every 3 months.
  • Floss everyday to clean food debris that are left in-between spaces of the teeth.
  • Gargle with antibacterial mouthwash to decrease the bacteria population. Be wary of some mouthwash that contains alcohol. Alcohol can dry your mouth. If you have dry mouth, means you have less saliva. If you have less saliva, you are prone to tooth decay because saliva helps neutralize plaque acids.
  • Visit Prescott Dental Arts regularly.
  • Drink more water to keep your mouth moist and produce more saliva. Saliva contains important elements such as bicarbonate, calcium, and phosphate. They can assist to neutralize plaque acids and repair damages on the tooth.
  • Eat a well-balanced diet. Eating a variety of nutrient-rich foods promotes healthy teeth and gums. These are the foods that promotes strong teeth:  Calcium-rich foods such as milk, yogurt, cheese, almonds and dark green leafy vegetables. Phosphorus that can be found in eggs and fish. Vitamin C that can be found in citrus fruits and tomatoes.

 

 

Disclaimer: This article is not intended or implied to be a substitute for professional medical advice, diagnosis or treatment. All content, including text, graphics, images and information, contained on or available through this web site is for general information purposes only.

Comments

Be the first to comment on this article

Please register if you want to comment
 

Partners and Sponsors

Copyright © 2024 DentaGama All rights reserved