Dentagama   »   Dental clinics   »   United States   »   Brooklyn   »   Cosmetic Dentistry in Brooklyn

Cosmetic Dentistry in Brooklyn

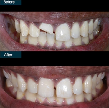
Cosmetic Dentistry in Brooklyn Cosmetic Dentistry in Brooklyn

The Best Dentist in Brooklyn
Considered as one of the finest dentist available in Brooklyn — and honored as the top New York dentist of 2017 — Cosmetic Dentistry in Brooklyn offers all the most popular dental procedures, from teeth whitening and cleaning to the treatment of complicated issues that require surgery. Both dentists are highly trained and experienced in cosmetic dentistry, as well as general family dentistry. Whatever your dental needs are, they can help.

If you’re looking for a cosmetic or family dentist in Brooklyn, who will be capable of treating most dental conditions, look no further. Whether you need cosmetic dentistry, orthodontics or periodontics, the father-and-son, board certified dentists at Cosmetic Dentistry in Brooklyn, will ensure you are confident and comfortable while they treat your oral health and preserve your beautiful smile. Not only can you trust them with your teeth, but your children’s teeth as well.

Cosmetic, Family & General Procedures
Dr. Alex Khabensky, DDS, and Dr. Igor Khabensky, DDS, are general dentists who also specialize in cosmetic procedures such as:

veneers,

dental implants,

invisalign near me,

dental crowns.

Regardless of what procedure you may require, we can do it all. Your oral health is our biggest priority. Which means that before starting any cosmetic procedures, we will first examine your dental health, to lay a stronger foundation for a beautiful smile.

Cutting Edge Cosmetic Dental Clinic in Brooklyn
Our Brooklyn, dental clinic is equipped with the most state of the art, advanced equipment available anywhere. We have the latest lasers and high precision microscopes. Implant dentists Alexander and Igor Khabensky DDS always use only top quality medical grade titanium or titanium alloy for all our dental implants. We have established relations with the best dental laboratories available in Brooklyn, which enable us to give you the most accurate and natural looking results. Get your dental implant treatments from us, the best implant dentist in Brooklyn.

Only board certified and highly trained cosmetic dentist like Alexander or Igor Khabensky DDS can determine an accurate diagnosis and administer the proper dental treatment needed. For more information about the dental services offered at Cosmetic Dentistry in Brooklyn or to schedule a consultation with the top rated dentists, please contact our Brooklyn NY office. For more information about the Cosmetic Dentistry in Brooklyn, please contact our office by number (718) 339-8852

Working Hours:
Monday: CLOSED
Tuesday: 10:00 am - 7:00 pm
Wednesday: 10:00 am - 7:00 pm
Thursday: 10:00 am - 7:00 pm
Friday: 10:00 am - 7:00 pm
Saturday: 9:00 am - 5:00 pm
Sunday: CLOSED

Payment: cash, check, credit cards

Cosmetic Dentistry in Brooklyn 
2148 Ocean Ave, Ste 401,
Brooklyn, NY 11229
(718) 339-8852

Web Address: https://www.dentistinbrooklyn.com/

e-mail: info@dentistinbrooklyn.com

Our location on the map: https://goo.gl/maps/ryGk7UuvoUBX4xX77

https://plus.codes/87G8J25V+C8 Brooklyn

Nearby Locations:
Midwood | Marine Park | Madison | Homecrest | Mapleton
11230 | 11234 | 11229 | 11204

Follow
Rating:
(0)
WRITE A REVIEW

Dental services

Dental Bonding
from 100$ - to 400$

Dental Veneers
from 250$ - to 1500$

Teeth Cleaning
from 200$

Exam, consultation, teeth cleaning and panoramic x-ray
$195

Contact Cosmetic Dentistry in Brooklyn

Type: Dental clinic
Country: United States
Address: Brooklyn, 2148 Ocean Ave, Ste 401,
Telephone: 718-339-8852
Languages spoken: English
Website:

Working hours
Tuesday
10am - 7pm h.
Wednesday
10am - 7pm h.
Thursday
10am - 7pm h.
Friday
10am - 7pm h.
Saturday
9am - 5pm h.

Gallery

Family Cosmetic and Implant Dentistry of Brooklyn New York
Family Cosmetic and Implant Dentistry of Brooklyn New York
Family Cosmetic and Implant Dentistry of Brooklyn New York
Family Cosmetic and Implant Dentistry of Brooklyn New York
Family Cosmetic and Implant Dentistry of Brooklyn New York
Family Cosmetic and Implant Dentistry of Brooklyn New York
Family Cosmetic and Implant Dentistry of Brooklyn New York
Family Cosmetic and Implant Dentistry of Brooklyn New York
Family Cosmetic and Implant Dentistry of Brooklyn New York
Family Cosmetic and Implant Dentistry of Brooklyn New York
Family Cosmetic and Implant Dentistry of Brooklyn New York
Family Cosmetic and Implant Dentistry of Brooklyn New York
Family Cosmetic and Implant Dentistry of Brooklyn New York
Family Cosmetic and Implant Dentistry of Brooklyn New York
Family Cosmetic and Implant Dentistry of Brooklyn New York
Family Cosmetic and Implant Dentistry of Brooklyn New York
Family Cosmetic and Implant Dentistry of Brooklyn New York
Family Cosmetic and Implant Dentistry of Brooklyn New York
Family Cosmetic and Implant Dentistry of Brooklyn New York
Family Cosmetic and Implant Dentistry of Brooklyn New York
Family Cosmetic and Implant Dentistry of Brooklyn New York
Family Cosmetic and Implant Dentistry of Brooklyn New York
Family Cosmetic and Implant Dentistry of Brooklyn New York
Family Cosmetic and Implant Dentistry of Brooklyn New York
Family Cosmetic and Implant Dentistry of Brooklyn New York
Family Cosmetic and Implant Dentistry of Brooklyn New York
Family Cosmetic and Implant Dentistry of Brooklyn New York
Family Cosmetic and Implant Dentistry of Brooklyn New York
Family Cosmetic and Implant Dentistry of Brooklyn New York
Family Cosmetic and Implant Dentistry of Brooklyn New York
Discount
photo
photo
photo

Cosmetic Dentistry in Brooklyn Team

Dr. Alexander Khabensky, DDS

Dr. Alexander Khabensky, DDS

Dentist

Brooklyn family and cosmetic dentist Dr. Alexander Khabensky’s journey first started as a Physician’s Assistant when he graduated Kiev Medical University in 1978. He was then drafted in the Soviet Army where he served two years as a PA.

NYU College of Dentistry
Upon completion of his state duties, he returned to Kiev Medical University and studied his first love, dentistry, from 1981 to 1986. Facing tough times and persecution, Dr. Alex, his wife Asya, and son Igor, came to the United States of America in August of 1992 in hopes of pursuing his dreams and a brighter future for his family.

In 1993 he got accepted into the advanced placement program at New York University College of Dentistry. He had to learn a new language and dentistry all over again.

After many sleepless nights, two outside jobs, love and support from Asya, and with lots of dedication, Dr. Alexander Khabensky graduated NYUCD in 1996.

Quentin Smile Dental Services
After a year of working as an associate dentist, Dr. Alex knew he wanted to open something on his own. In 1997 only a year after graduating, Dr. Alex and Asya opened their practice, “Quentin Smile Dental Services” on Quentin Road and E16th St (Family Cosmetic & Implants Dentistry of Brooklyn).

Comprehensive Dental Care in Brooklyn
They have since become a staple in the community for the past 20+ years. Dr. Khabensky has seen his pediatric patients grow up and bring their own kids into the practice. He’s also seen families move hundreds of miles away to Connecticut, New Jersey, Massachusetts, or Albany and still make the trip to see him for their dental needs.

Trust and Recognition
He’s gained the trust of his patients for his excellent skills, positive demeanor, and fantastic bedside manner. Dr. Alexander Khabensky is known amongst his patients to be gentle, caring, and a true master at his work. He enjoys all aspects of General Dentistry including endodontics, laser dentistry, cosmetic dentistry and restorative dentistry.

Every year Dr. Alexander stays on top of his craft with his continuing education classes. His passion and knowledge for the field have really paved his son, Igor’s, own journey into dentistry. Igor Khabensky DDS a top rated Brooklyn dentist is now a partner at Family Cosmetic & Implants Dentistry of Brooklyn.

Outside of creating smiles, cementing crowns and bridges, and restoring dental implants in Brooklyn clinic, Dr. Alexander Khabensky is an avid outdoorsman. He enjoys fresh water fishing along the Delaware river, road trips to Pennsylvania, and long walks with his companion, Dasha, a miniature schnauzer.

Working Hours:
Monday: CLOSED
Tuesday: 10:00 am - 7:00 pm
Wednesday: 10:00 am - 7:00 pm
Thursday: 10:00 am - 7:00 pm
Friday: 10:00 am - 7:00 pm
Saturday: 9:00 am - 5:00 pm
Sunday: CLOSED

Payment: cash, check, credit cards.

Family Cosmetic & Implant Dentistry of Brooklyn
2148 Ocean Ave, Ste 401,
Brooklyn, NY 11229
(718) 339-8852

Web Address: https://www.dentistinbrooklyn.com

e-mail: info@dentistinbrooklyn.com

Our location on thr map: https://goo.gl/maps/ryGk7UuvoUBX4xX77

https://plus.codes/87G8J25V+C8 Brooklyn

Nearby Locations:
Midwood | Marine Park | Madison | Homecrest | Mapleton
11230 | 11234 | 11229 | 11204

Dr. Igor Khabensky, DDS

Dr. Igor Khabensky, DDS

Cosmetic Dentist

Brooklyn dentist Igor Khabensky is a dedicated and compassionate general, pediatric and cosmetic dentist serving the Brooklyn community. Dr. Khabensky attended New York University, where he received his dental degree, and completed his residency in general dentistry at Woodhull Medical Center. He has an experience and competency in all areas of family dentistry: tooth extractions, pediatric, cosmetic, implant dentistry.

Dr. Khabensky of Family Cosmetic & Implants Dentistry is affiliated with Woodhull Medical and Mental Health Center in Brooklyn, NY. Dr. Khabensky speaks English, Spanish, and Russian, and his awareness of these different languages makes him accessible to patients in Brooklyn from a variety of cultural backgrounds.

Dentist in Brooklyn Dr. Khabensky’s top priority is to provide his patients with excellent bedside manner and thorough treatment planning. Our Family Cosmetic & Implants Dentistry of Brooklyn is proud to offer our patients the most revolutionary technology in dentistry today: the Waterlase MD™ Dental Laser.

EXPERIENCE

Quentin Smile Dental Services, P.C.

Cosmetic, Pediatric and Implant Dentistry

Woodhull Medical Center

General Dentistry and Oral Implantology

North Shore Prosthodontics

General Dentistry and Pediatric Dentistry

Bohemia Dental Arts

General Dentistry and Pediatric Dentistry

Woodhull Medical Center

Experience and competency in all areas of General Dentistry including but not limited to molar endodontics, surgical extractions, pediatric, cosmetic and implant dentistry

EDUCATION

  • NYU College of Dentistry
  • Fordham University

AWARDS

  • Elective at HHC’s Gouverneur Hospital Mini-Residency
  • Russian American Dental Association Society Founding Member
  • Dental Dean’s Merit Scholarship
  • Selective in Teaching Skills Honors

Publications

  • Teixeira CC, Khoo E, Tran J, Chartres I, Liu Y, Thant LM, Khabensky I, Gart LP, Cisneros G, Alikhani M. (2010). Cytokine Expression and Accelerated Tooth Movement. Journal of Dental Research 89(10) 1135–1141
  • KHOO, A. ROMERO, I. CHARTRES, L.P. GART, J. DUBIN, I. KHABENSKY, C. TEIXEIRA, and M. ALIKHANI, New York University, New York, NY., Osteogenic Effect of High Frequency Forces on Alveolar Bone, Journal Dental Research 89(Spec Iss B): 194, 2010
  • S.M. OLIVEIRA1, I. KHABENSKY2, P. CARREIRO2, M. ALIKHANI2, M.A. BARBOSA3, and C. TEIXEIRA2, 1Escola Superior de Tecnologia de Viseu, Viseu, Portugal, 2New York University College Of Dentistry, New York, NY, 3INEB – Instituto de Engenharia Biomédica, Porto, Portugal, Spontaneous Chondrocyte Maturation on 3D Chitosan Scaffolds, Journal Dental Research 89(Spec Iss B): 4439, 2010
  • Thant LM, Khabensky I, Chan MY, Ferreira C, Wolf S, Alikhani M, Teixeira CC. The Role of NO/cGMP Pathway on Endochondral Bone Formation, Journal Dental Research 89(Spec Iss B): 1969, 2010

Working Hours:
Monday: CLOSED
Tuesday: 10:00 am - 7:00 pm
Wednesday: 10:00 am - 7:00 pm
Thursday: 10:00 am - 7:00 pm
Friday: 10:00 am - 7:00 pm
Saturday: 9:00 am - 5:00 pm
Sunday: CLOSED

Payment: cash, check, credit cards.

Family Cosmetic & Implant Dentistry of Brooklyn
2148 Ocean Ave, Ste 401,
Brooklyn, NY 11229
(718) 339-8852

Web Address: https://www.dentistinbrooklyn.com

e-mail: info@dentistinbrooklyn.com

Our location on thr map: https://goo.gl/maps/ryGk7UuvoUBX4xX77

https://plus.codes/87G8J25V+C8 Brooklyn

Nearby Locations:
Midwood | Marine Park | Madison | Homecrest | Mapleton
11230 | 11234 | 11229 | 11204

News and articles by Cosmetic Dentistry in Brooklyn

Mouth Guard for Kids and Teens

A mouth guard is a tough, plastic device that your kids wear inside their mouths to protect their teeth from accidents and sports injuries. A mouthguard is recommended in sports dentistry because it’s far less expensive and less traumatic to teach your kids how to wear a custom-made mouth guard than it is to go through extensive dental work fixing problems. The best children’s dentist in Brooklyn also is your family dentist. He can provide mouthguards for the entire family if yours is particularly active. A mouthguard also is ideal for protecting braces and to prevent injuries from teeth grinding during sleep.

© Cosmetic Dentistry in Brooklyn All rights reserved

Partners and Sponsors

Copyright © 2024 DentaGama All rights reserved