Abfraction

July 08, 2015


Abfraction
Dental abfraction is categorized as a non carious cervical tooth lesion
A closer look at the cervical tooth abfraction
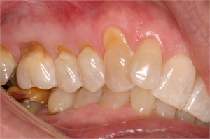
Tooth abfraction appears around the gum line as minuscule wedges or grooves.
Tooth abfraction appears as enamel wear  at the cemento-enamel junction (CEJ)
Close-up photograph of abfraction lesions and the gum margins
We normally associate dental problems with tooth decay and inflammation. However, there is another category known as tooth cervical lesions which is attributed to abfraction. This is tooth wear that is not caused by tooth decay and disease. Also described as non carious cervical lesions (NCCL), these develop gradually over the years. They are generally present on the facial side, that is, the outer side of the teeth.
 
Various reasons have been offered as explanation for their development. Most of us have heard the terms erosion, abrasion, attrition and abfraction. Though all of these refer to wearing of the tooth enamel, these are terms for the different processes involved. Abfraction is a somewhat newer concept introduced by Grippo in 1991.
 
In simplest words, abfraction can be described as breaking away. It is characterized by minuscule wedges or grooves at the cemento-enamel junction (CEJ) or the neck of the tooth at the gum line. These are thought to occur due to biomechanical loading. In other words, these are due to excessive force generated while chewing and by oral habits like bruxing. There is a lot of controversy regarding the existence of this process but sufficient evidence is present that points towards it.  
 

Theory of Abfraction

 
This approach applies engineering principles that have demonstrated the concentration of stress at CEJ with the help of finite element analysis. The theory of abfraction holds that physical wearing down of teeth in the cervical area of the tooth occurs due to tensile stress caused by occlusal loading. 
 
Normally stress generated while biting or grinding is distributed evenly within the tooth structure, thereby limiting stress at the occlusal or biting surface. Teeth enamel may be the hardest tissue but that does not mean that teeth are inflexible. It is possible for a certain amount of strain or bend to occur in the dentin which causes enamel tooth flexure. This may lead to mini fractures in the enamel as well as the dentin. These fractures occur in the cervical region because this area is not well developed and has the thinnest enamel. 
 
This loading can be due to chewing or the characteristic clenching and grinding of bruxism. Additionally, vertical loading is less damaging than the lateral loading that is often seen in grinding. When teeth are under grinding pressure, they are forced to bend or flex in one direction and then the opposite direction when the direction of the force changes. This side to side flexing is thought to be the most probable cause of these lesions.
 
Eventually, these microfractures predispose further enamel loss due to additional factors like tooth abrasion that may have been caused by vigorous brushing of the teeth. Often NCCL are said to be caused by toothbrush abrasions. This is supported by the fact that these lesions occur only on the outer or buccal surface of the teeth, which is where the toothbrush comes into contact. However, this alone cannot be the reason as these lesions are sometimes observed in isolated teeth or below the gum line. Besides this, another factor may be corrosion (chemical erosion) that further leads to non carious lesions. In short, non carious lesions are the outcome of several factors together.

Comments

Be the first to comment on this article

Please register if you want to comment
 

Partners and Sponsors

Copyright © 2024 DentaGama All rights reserved