Gingival Hyperplasia

August 28, 2013


Gingival Hyperplasia
Gums Hyperplasia
Hyperplasia of the gingiva

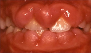
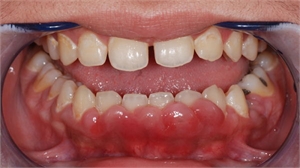
Enlargement of gums or gingiva is called gingival hyperplasia in the dental terms. This condition occurs due to abnormal multiplication of gingival tissue cells caused by various factors. Typical findings for gingival hyperplasia are swollen and enlarged gums. If you are suffering from gingivitis there will be gum bleeding as well as tenderness. The teeth get covered with the gums if the infection is too intense.  The patient is examined by a dentist and then the patient is sent for further examination if any further complications are seen.

 

What causes gingival hyperplasia?

There are several causes of gingival hyperplasia. Inflammatory and granulomatous disorders like Hand-Schuller-Christian syndrome, auto-immune disorders like plasma cell gingivitis which is associated with allergic and collagenous nature, neoplastic disorders like acute leukemia and monocytic leukemia are some of the causes of gingival hyperplasia. Other causes include metabolic and storage disorders like aspartylglycosaminuria, genetic disorders like Cross syndrome. One of the most important causes of gingival hyperplasia is toxicity of drugs. Drug induced gingival hyperplasia is a condition which occurs due to excess of deposition of drugs given to a patient. It is also called as Drug Induced Gingival Overgrowth (DIGO). Immunosuppressant like Cyclosporin, anticonvulsants like valproate, phenytoin, phenobarbital, primidone and calcium channel blockers like nifedipine, verapamil and amlodipine are the drugs which cause gingival hyperplasia when the doses exceed. Cyclosporin and phenytoin toxicity are the important toxicities caused in a patient especially in case of dental plaque where these drugs get deposited on the tooth. Different individuals are susceptible to different drugs. In general, it has been observed that the keratinocytes and fibroblast are susceptible to phenytoin, cyclosporine and many a times to nifedipine and amlodipine.  The susceptibility rates of the patient to these drugs depend on the metabolism of the body, age, sex and their health history too. 

Based on the causes, gingival hyperplasia is divided into five categories:

  • Inflammatory enlargement
  • Enlargement due to systemic /genetic diseases
  • Neoplastic enlargement
  • False enlargement
  • Drug induced enlargement
  •  

Gingival hyperplasia differential diagnosis

The diagnosis of gingival hyperplasia is mainly done by differential diagnosis. This involves IFN-gamma-stimulated gene expression which is important to determine the presence of gingival hyperplasia in the body. For finding out the gene expression, oral pathologists use oligonucleotide microarrays. First the oral pathologist checks the patient for the presence of gingival hyperplasia and if any medical complications are seen then he is sent to a medical pathologist for detailed diagnosis of the disease.

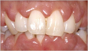
The treatment of gingival hyperplasia is based on the type and cause of the gingival hyperplasia. First of all, improving oral hygiene is the most important factor which will determine the cure rate of the disease. You need to maintain your oral hygiene regularly to prevent any further spread of infection. Gingivectomy, a surgical procedure to remove the excess of gingival tissue is carried out to manage the condition. The drugs which cause toxicities and affect the gingival tissues can be replaced with alternative drug therapies. For instance, in case of immunosupression, cyclosporine can be replaced by tacrolimus which is has less affect in gingival hyperplasia. Nefedipine can be replaced by isradipine as it does not increase the conditions of gingival hyperplasia.

Comments

Be the first to comment on this article

Please register if you want to comment
 

Partners and Sponsors

Copyright © 2024 DentaGama All rights reserved