Gingival veneers

January 22, 2016


Gingival veneers
Gingival Mask
Gum Mask
Gingival Venneers
Removable gingival veneers
Gum Veneers

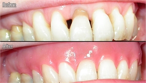
Gingival veneers are removable prostheses that cover the gums above the upper front teeth. There is a growing awareness that smooth, pink gums are an as important part of a smile as the teeth. We hear so much about braces, dental veneers, aligners and so forth to straighten the teeth not only for aesthetic but also functional reasons.

For people suffering from gum recession and pocket formation due to periodontal disease, black triangle syndrome, injury or tooth extraction, surgery was thought to be the most feasible solution. Loss of gingival tissue may also result from treatment for periodontal disease, or bone resorption, among other factors. However, though surgery and regenerative procedures may help to address functional issues, its cosmetic results may not always be satisfactory. Surgery is also uncomfortable and requires considerable healing time.

A simpler alternative to this is the use of gingival veneers or gingival masks. Commonly known as party gums these are made of flexible silicone or from non-flexible materials like acrylic. Flexible veneers are likely to be more comfortable for patients than acrylic prostheses which may rub against the soft gum tissues. These are normally fitted from canine to canine, though in some cases they can also be extended to the molars. As they are removable, they can be easily cleaned and therefore pose no threat to oral health. The use of gingival flaps is minimally invasive and a quick solution for patient’s dissatisfied with their unsightly gums. Patients with a gummy smile are the most likely to benefit from the use of gingival masks.

Indications for a Gingival Mask

Gingival veneers are suggested when there is a noticeable difference in gum margins or gum recession. The patients first notice this as 'long teeth'. It is also advisable in the case of advanced tissue loss and development of interdental recession.

Esthetics is not the only reason for fitting gingival slips. It prevents food trapping in the periodontal gaps. Further in the case of advanced loss of interdental tissue air escapes from these gaps thus making some consonants unclear. The use of gum veneers also improves the speech.

Contraindications

Removable gingival prostheses are inadvisable in certain conditions. In the case of existing periodontal disease and an accute flare up, it is necessary to control the disease before fitting gingival veneers. Patients with poor dental health or those who have extensive tooth decay are also not good candidates for it. People who are regular and heavy smokers are also unlikely to benefit from gingival slips.

Gingival veneers may be constructed at the chair side by the dentist himself or by a technician. In both cases careful impressions need to be taken for an optimal fit. Most patients who are fitted with gingival veneers report that these are comfortable and easy to use along with providing improved appearance.

Comments

Be the first to comment on this article

Please register if you want to comment
 

Partners and Sponsors

Copyright © 2024 DentaGama All rights reserved