Inclined plane in orthodontics

January 21, 2014


Raising occlusion with an inclined plane
Inclined plane in mouth
Orthodontic appliance for treating anterior cross bite
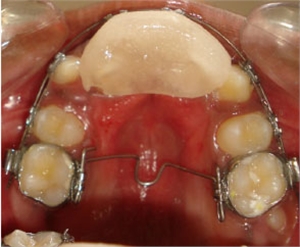
Inclined plane
Orthodontic appliance with an inclined plane
Inclined plane - anterior and lateral look
Anterior inclined plane

In the everyday orthodontic practice we witness all kind of malocclusion. Some of the treatments are time consuming while others can be performed in a very short term. That's what the patients are looking for - noticeable and fast results. However some of the orthodontic cases take years to finish and that should be discusses with the patient in advance in order to avoid misunderstanding.


Some of the orthodontic cases seem to be severe at first sight but after the orthodontic assessment we realize that the case can be finished successfully in a few months. Such case is the situation where the maxillary incisors are locked in a lingual position (biting lingual to lower incisors) and we have an orthognatic occlusion (Class one Angle). The only problem that appear in such patients is the "crowding in the front teeth". Actually this is not crowding but locked lingual bite.There is enough space for the eruption of the central incisors, lateral incisors and canines and normal occlusion in the molars and premolars.


Such cases are easy to treat, cause no trauma whatsoever, orthodontists get fast results and patients are very happy after the treatment. No complicated appliances are needed and the case could be finished just be applying the advantages of the inclined plane. This appliance unlocks the lingual position of the maxillary incisors and corrects the bite in the front region. Patients report discomfort only in the first 2-3 days after cementing the inclined plane. The use of the inclined plane in orthodontics gives you the advantage of using the normal functional forces of the occlusion. The upper incisors are over and they slide over the anterior inclined plane. These functional forces contribute to the buccal repositioning of the maxillary front teeth and the unlocking of the bite is present.


It is a simple procedure performed by the dental technician. The dentist is taking the impressions (with alginate or silicone) to receive the plane. Then a bite registration is needed - that can be done with a bite registration material or a wax bite. The dental technician casts the models and creates an occlusal plane which raises the occlusal plane and reduces the opened bite. The dentist cements it to the teeth because it is meant to be a fixed orthodontic appliance. The removal of the occlusal plane can be done easily by a chisel or a mallet.

Comments

Be the first to comment on this article

Please register if you want to comment
 

Partners and Sponsors

Copyright © 2024 DentaGama All rights reserved