Intraosseous injections

October 15, 2022


Intraosseous injections
Intraosseous dental injection is a tooth aneasthetic inserted within the bone

Intraosseous means within or inside the bone. An injection inside the bone might be a scary notion. However, it is one of the most effective means of achieving anesthesia in dentistry.

 

Main anesthetic technique and supplementary numbing

 

Dental anesthesia can be achieved in two parts. The first part involves the dental surgeon using a main or primary technique that involves numbing the trunk of the nerve that supplies an entire quadrant of one side of the jaw. The second part involves using a supplementary or additional technique where the nerves of the concerned tooth are anesthetised. Achieving anesthesia in these two parts is essential and no single technique on its own might be sufficient to achieve anesthesia in an infected tooth.

 


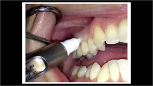
Technique for intraosseous technique (supplementary numbing technique)

 

An intraosseous technique is a supplementary technique. It was first described in 1910 by BH Masselink. The technique described by Masselink was based on the instruments that were available back then. However, the basic principles behind the technique are relevant even today. Materialistic advances over the years has led to the intraosseous technique be more precised and quicker.

 

In order to opt for an intraosseous technique, a special type of injection system is needed as the deposition of the anesthetic solution needs to occur within the bone. Stabident and X-Tip are two such systems where a hole is drilled through the cortical bone. Since this technique is used for posterior teeth, the hole is made between the roots of these teeth. The depth of the drilled hole is nearly 5 mm. It is here, that the dental surgeon inserts the needle and deposits the anesthetic solution. The solution then travels through the trabecular network of the bone and exerts its effects.

 

Indications for intraosseous injection

 

This technique is indicated for all teeth, but more often for posterior teeth. When the main anesthetic technique (which involves blocking the trunk of the nerve that gives branches to the concerned tooth) fails to produce adequate anesthesia, then intraosseous technique is one of the many supplementary techniques that can be opted for.

 

Contraindications

 

Intraosseous technique should not be used when the patient has presented with an infection of the underlying periodontal ligament. This is the ligament that connects the tooth to its underlying socket in the bone. Since the infection would have already weakened the bony structure, invading it with an intraosseous technique will only weaken it more.

 

Intraosseous technique is not recommended in children. This is because the bony structure of the jaws is not as firm in children as compared to adults. Moreover, below the milk teeth of children are the tooth buds of the future permanent teeth. Using an intraosseous technique puts a direct risk of injury to the developing tooth bud.

 

Advantages

 

This technique produces anesthesia that can last as long as 60 minutes. The onset of anesthesia is almost immediate and the dental surgeon can start performing the surgery within a couple of minutes.

 

Disadvantages

 

In some cases a fistula may be formed at the injection site. A fistula is an infectious and inflamed tract that is formed between two body parts. In this case, it is between the bone and the gingival membrane. This technique can be difficult in cases where the cortical plate of the bone is too thick to penetrate. Moreover, some multi-rooted teeth have their roots very close to each other, making it difficult to decide upon the insertion point.

 

Side-effects

 

The most notable side-effect of intraosseous technique is the rise in heart beats. Most scientific studies have concluded that the rise in heart beats is not fatal and returns to the normal steady rate after four minutes. The increase in heart beats can be because of pain experience during the perforation. At times, the heart beats increase simply because of the fear of needle and the subsequent anxiety. Such patients can be managed through constant reassurance before and during the treatment.

 

Post-operatively, patients may experience pain and swelling at the site of injection. This resolves within two weeks of the surgery. Patients are usually prescribed anti-inflammatory and antibiotics following the procedure for faster healing and relief from pain.

 

Intraosseous techniques are one of the many supplementary techniques that can be opted by the dental surgeon in order to produce an immediate anesthesia for faster treatments. Despite the fact that the instruments used for this technique are expensive, it also guarantees the dental surgeon a precised delivery of the anesthetic agent.

Comments

Be the first to comment on this article

Please register if you want to comment
 

Partners and Sponsors

Copyright © 2024 DentaGama All rights reserved