Microdontia

February 16, 2015


Microdontia
Bilateral Microdontia - abnormally smaller teeth affecting the same group of teeth on both sides of the jaw
True Generalized Microdontia - all teeth in the dentition are smaller than usual

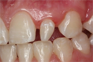
Microdontia is a dental condition in which a patient has teeth that appear to be smaller than usual. The microdontic teeth have shorter roots and smaller size, or are malformed and cone-shaped. This phenomenon affects a single tooth or a pair of teeth especially the maxillary laterals and the third molars. The affected teeth, also known as microdonts, can be with a normal or abnormal morphology.

Microdontia types

1. True generalized microdontia
2. Relative generalized microdontia
3. Microdontia involving a single tooth


True generalized microdontia is very rare and involves all the patient's teeth being smaller than normal. This condition may occur when a person has pituitary dwarfism or Down’s syndrome. Relative generalized microdontia is when the teeth are normal or slightly smaller but the person has a larger jaw size giving an illusion of microdontia. This may be attributed to genetics whereby the person inherited a larger jaw from one of the parents. Finally, where microdontia involves a single tooth, it is referred to as localized microdontia. It commonly affects the maxillary lateral incisor and the third molar. It may occur due to the person having supernumerary teeth or facial hemiatrophy.

Depending on the size of the tooth structures the condition can be categorised into three types:

  1. microdontia of the whole tooth – the crown and the roots have a smaller size
  2. microdontia of the crown
  3. microdontia of the root alone.


The adjacent teeth may shift due to the space left by the smaller tooth and this may result in a malocclusion, or an abnormal bite. The factors responsible for microdontia are obscure. However, both genetic and environmental factors are involved in the etiology of the condition. A generalized microdontia (the condition has affected the whole set of teeth) is rare and is reported in radiation and chemotherapeutic treatment during the teeth development stage.

What is macrodontia?

Microdontia can be corrected through several methods. One method is by placing crowns on the teeth. If the roots of the affected teeth are adequate then a temporary crown is placed on the teeth as they grow, this will aid the teeth in maintaining position and normal spacing. This method of correction is not used on teeth that do not have adequate roots since they are not strong enough for normal sized crowns. Due to their weakness they cannot be used as a support for a bridge. If an extra tooth is present then it can simply be removed to create room for the normal spacing of the other teeth.

It is important to note that permanent crowns can be placed once the teeth are fully grown and developed. The roots of the primary teeth are inadequate and unable to carry the occlusal load. When a deciduous tooth has to be extracted, space maintainers may be placed to act as placeholders until the permanent teeth grow in. When microdontia occurs in adults, dental implants may be placed with normal-sized crowns in order to replace the microdont.

Comments

Be the first to comment on this article

Please register if you want to comment
 

Partners and Sponsors

Copyright © 2024 DentaGama All rights reserved