Operculectomy

March 16, 2014


Operculectomy
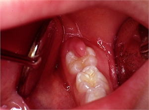
Operculectomy is a simple surgical excision of the gum tissue on the top of the tooth
Operculum is the flap of gum tissue that covers the tooth
Operculum - gum mucosa over an unerupted tooth
Operculectomy - gum flap removal

Operculectomy is a surgical removal of the inflamed flap of soft tissues surrounding a partially erupted tooth. This soft tissue is widely known as the operculum. A successful operculectomy surgery leaves an area that is easy to clean as the tooth erupts. A partially erupted tooth is usually more prone to decay and gum disease which causes inflammation of the gums and adjacent tooth tissues resulting into discomfort and pain. The operculectomy is done with a surgical scalpel, an electrocautery device or with dental surgical lasers. The operculum accumulates food debris and harbors bacteria which is detrimental to the oral hygiene.

 

What can happen after the operculum emerges?

 

The operculum always comes out after the wisdom teeth eruption. A wisdom tooth, also known as the third molar tooth, refers to the most distal molar in human teeth system. Wisdom teeth are the last teeth to develop in the mouth and usually appear between the late teenage years and the early twenties. In most people, the emergence of the wisdom tooth is usually characterized with sudden inflammation and softening of the tissues surrounding the partially erupted tooth. The operculum emerges during this period with mild symptoms that become acute if not dealt with within the right time.

 

Accumulated food particles around the operculum shelter bacterial infections that might lead to the acquisition of serious health conditions. The operculitis is responsible for severe inflammation of the operculum resulting into pain within the jaws. This oral health condition is also responsible for facial swelling caused by the bacterial activities around the operculum. Sudden loss of appetite is a result of bad taste in the mouth. There is sometimes a pus exudation out of the swollen tissues. These oral health issues can be prevented by ensuring strict oral hygiene that will help in fighting the locally residing bacteria.

 

What is pericoronitis?

 

How does the dentist treat operculitis/pericoronitis?

 

1. A course of antibiotics. Amoxicillin or Metronidazole are the main choices when fighting pathogenic bacteria in the periodontal pockets around the infected tooth. Prescribing antibiotics only is the minimal invasive technique of dealing with this condition and does not require active treatment from the dentist.

 

2. Scale and polish. The localized infection is present due to accumulating of debris, plaque or tartar build-ups. Therefore, a local debridement of the infected tissues will speed up the process and will promote healing. After all, the infections are always caused by microorganisms, and if they are removed from the area, the healing process is faster and noticeable. The scale and polish procedure can be combined with application of local antiseptics like chlorhexidine gel (Corsodyl gel) or antibiotic gel (Dentomycin gel) to help with the bacterial infection.

 

3. Operculectomy. The incision of the soft tissue flap reduces the pocket around the tooth, and the area of debris retention. The dentist achieves a self cleansing surface and the patient saliva mechanically washes out any food particles in this area. Operculectomy can be done with a conventional scalpel, electrocauter or laser. It is good practice to combine operculectomy with a course of antibiotics or root scaling. Operculectomy procedure is carried out under local anaesthetic and it is painless. However, the patient may have post operative sensitivity for up to three days after the operation.

 

4. Extraction of the tooth. This is the most invasive way of treating operculitis. If the dentist believes that the wisdom tooth will not be functional after its eruption, saving it will do no good to the patient. In order to avoid recurrent flare-ups, the tooth may be removed.

 

A preventive operculectomy surgery has been hailed as the best way of getting rid of the stubborn operculitis exacerbations.  It is advisable to consult your personal dentist of you believe you have some of these symptoms. Do not be tempted into diagnosing and treating yourself without a dental professional supervision. This condition can be approached in different ways, in accordance to your specific case and needs.

Comments

Be the first to comment on this article

Please register if you want to comment
 

Partners and Sponsors

Copyright © 2024 DentaGama All rights reserved