Piercing is a popular form of body art and self-expression—most recently including oral or tongue piercings. The tongue is the most common site, but other oral piercings include lips, cheeks,
uvula, or any combination of these. Young adults think these piercings look cool, but few understand how dangerous they can be for oral health—even life threatening. Before getting any type of oral piercing you should consult with your dentist or other health care professional. They will advise you about some of the biggest oral health risks including infection, swelling, nerve and gum damage, and chipping a tooth.
There are potential risks and complications with tongue piercings. Here are the leading risk factors associated with oral piercings:
1. Infection
Piercings, as with any incision or puncture, are subject to pain, inflammation, and infection. There are millions of bacteria in the mouth. While some are harmless, and necessary for breaking down food, other bacteria lead to infection and swelling with tongue piercings. Because piercings involve blood and body fluids, several types of communicable diseases result from improper sterilization of piercing supplies and equipment. Cases of secondary infections, like bloodborne hepatitis and endocarditis, have also been linked to tongue piercings. Other bloodborne viruses like HIV, herpes simplex, and Epstein-Barr might also occur.
2. Swelling
In the worst cases, the inflammatory response to oral piercing is so severe it closes off the airway. The British Dental Journal reported a case of Ludwig’s angina (rapid inflammation of the tissues under the tongue) which manifested only four days after a 25-year-old female pierced her tongue’s frenum. Intubation was necessary, and when the antibiotics failed, she had to undergo surgery to remove the barbell piercing and decompress the swelling.
3. Nerve Damage
The tongue is highly innervated. It contains specialized sensory nerve fibers so you can taste flavors and feel textures and temperatures. As such, numbness after piercing is a common, but usually temporary complication. However, on occasion the nerve damage is permanent and can impact the sense of taste and how your mouth moves. These difficulties in oral function could make it difficult for you to eat and speak normally. Piercings might also cause excess saliva and result in temporary or prolonged drooling.
4. Profuse Bleeding
Your tongue is also highly vascularized. It contains a deep lingual artery and accompanying vein—which often bleed extensively during tongue piercing. You should be able to control bleeding soon enough. But if not, damaged vessels could result in prolonged bleeding and the risk of hemorrhage. You should seek immediate medical attention in these cases.
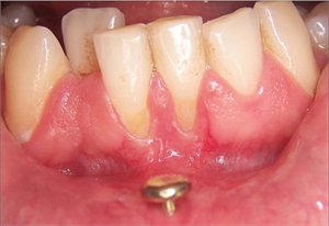
5. Gum Damage or Recession
When hard jewelry comes in constant contact with the soft tissues of the mouth it can cause damage. Recession of the gums increases your risk of periodontal infection, and when the supporting structures of your teeth become infected it may result in permanent tooth loss.
6. Crack or Chip a Tooth
The tongue is a well-used muscle that helps you speak, chew, eat, and swallow. If you are unused to performing these simple activities with jewelry, then you are likely to accidentally chip your teeth’s enamel. The damage can be painful. Not only are you likely to feel more sensitivity to hot and cold, but any breaks in the enamel put you at a greater risk of
dental decay. Eventually you will need to see the dentist for fillings,
root canals, crowns, or even extractions.
7. Difficulties during Dental Appointments
Oral piercings can also impede dental work. Not only does the jewelry obstruct anatomy and get in the way, but it can also block or distort radiographs.
8. Jewelry Inhalation or Ingestion
If a threaded piercing becomes loose or dislodged, you could accidentally inhale or swallow it. You could choke, or jewelry could become a hazard to digestive and respiratory organs.
If you choose to get an oral piercing
Because of these risks, most dentists oppose the practice of tongue piercing. However, if this list of risks does not dissuade you, and you go ahead with a tongue piercing, then there are several things you should do to mitigate pain, hemorrhaging, and infection.
-
Do not get a piercing on a whim
-
Choose a qualified and cleanly professional with a good reputation
-
Make sure they sterilize all instruments in an autoclave
-
Choose surgical grade stainless steel for all jewelry
-
Once done, do not touch your piercing with your fingers
-
Rinse three or four times a day with antibacterial mouthwash
-
Suck on ice to reduce pain and swelling
-
Avoid hard and spicy foods for the first week
-
Drink adequate amounts of fluids (excluding alcohol)
-
Tighten your piercing once or twice a day
-
Remove jewelry when playing sports
-
See your dentist for regular appointments
-
Contact a health care professional at the first sign of infection
Irresistible Smiles - United States

Agree! A person who had tongue piercing needs to stay careful, because if piercing is not done properly, it will create many problems especially related to oral health. So, it is advisable to follow all the recommended tips to avoid the health risks.
16 February 2017