Orthopantomogram

February 28, 2015


Orthopantomogram
Panorex is a diagnostic full mouth x-ray
The panoramic x-ray is a dental radiograph showing the upper and lower jaw. It is also known as OPG, panoral, panorex, orthopantomogram or a full mouth radiograph.

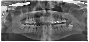
An orthopantomogram (OPG) is an x-ray image of the whole of your lower face and jaw which shows a two-dimensional (2-D) view of the dentition, mandible, maxilla and temporomandibular joints. Although the term sounds very complicated, it is also known simply as a panoramic x-ray, full mouth x-ray, panoral or panorex.

Taking an OPG x-ray is very simple and straightforward, the main difference from an ordinary dental radiographs being that you are in a standing position while the x-ray is taken, and the x-ray machine moves around your head. It is a very quick procedure but it is contraindicated for pregnant women. However, this applies to any x-ray, as there is a risk that radiation may harm an unborn baby.

One of the advantages of an orthopantomogram is that there is no need to place x-ray film inside the mouth, and the dosage of radiation received by the patient is less than taking separate x-rays of the teeth. The procedure will show all of the teeth (32 of them in a fully grown adult with all four wisdom teeth) including teeth which may not have erupted. It can also display problems like:

  1. Horizontal and vertical bone loss
  2. Extensive tooth decay
  3. Oral cysts
  4. Tooth abscesses
  5. Impacted teeth
  6. Supernumerary (extra) teeth
  7. Temporomandibular joints disorder
  8. Oral cancer
  9. Jaw fractures
  10. Positioning of dental implants
  11. Sinusitis

Orthopantomograms can be used to determine planning and treatment for impacted wisdom teeth, assess periodontal bone loss, and locate the source of dental pain, or toothache. They may also be used for assessment for the placement of dental implants if you are considering this procedure. In addition, there are a number of other possible diseases or malfunctions that will be visible to the dentist if they are present.

The complete machine stands on a base plate and has a vertical column on which the carriage holding the OPG unit can move. It can be adjusted up and down the column to conform to the height of the patient.

The patient is required to stand with the chin on a chin rest, and gently bite on a peg placed into a slot on the machine in order to keep the head steady. There are also two handles to grip with the hands. When the patient is in the correct position, the radiographer will also use the head clamps to hold the head gently in place (this is absolutely painless).

Before the procedure is undertaken, the patient will be asked to remove any jewellery, necklaces, earrings, piercings and also any dentures or hearing aids, as any or all of these could blur the image. Acrylic dentures without metal clasps do not distort the image and often and left inside the mouth in order to achieve a proper bite positioning when taking the panorex.

Once the patient is correctly placed, the machine will move in a complete circle around the head in order to take the full panoramic image. The procedure is very quick, and totally painless. The machine may make a whirring noise, and it is possible for it to touch the patient’s back. Patients are requested not to move, otherwise the image can be blurred and the procedure will need to be repeated.

The orthopantomogram is a two-dimensional picture of a three-dimensional structure therefore a few distortions have to be taken into account:

  1. The x-ray is blurry in the frontal segment due to super positioning of the spine
  2. The super positioning of the oesophagus and the airways also cause distorted segments in the panoral
  3. The presence of metal objects (irremovable piercings, dental implants or left chrome dentures) can distort the image and create blurry areas
  4. In general every superpositioning of bone structures and soft tissues causes blurry areas

An experienced radiologist and dentist always has these details in mind when reading the Panorex x-ray.

Comments

Be the first to comment on this article

Please register if you want to comment
 

Partners and Sponsors

Copyright © 2024 DentaGama All rights reserved