Reasons for tooth discoloration

April 05, 2017


Reasons for tooth discoloration
White fillings can go dark with age. Replacing them will give your the smile you have always wanted.
Tetracycline staining on teeth. Some medications taken by the mother or the child during enamel formation can cause permanent spots on the teeth. Staining can be mild - white spots, moderate - yellow stains, or severe - dark brown areas on the teeth.
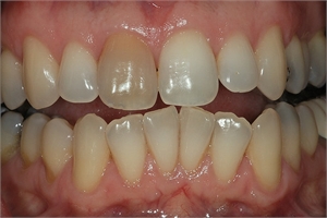
Amalgam fillings can stain your teeth and make them look darker. Teeth are decay free but the discoloration is at present.
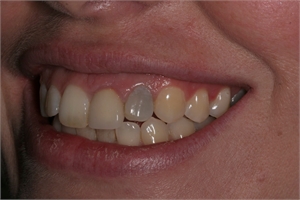
Metal ceramic crowns placed on anterior teeth can appear dark around the crown margin. This is the metal cap showing through. It is advisable such teeth to be crowned with pure porcelain dental crowns.
Superficial stains on teeth can be caused by excessive consumption of coffee, tea, red wine, dark juices and cigarettes.
Fluorosis is a condition that causes poor dental tissues quality and tooth darkening that can go from white patches to yellow and dark brown spots.
Non vital teeth (teeth that have been root filled) go darker with time.
Tartar accumulation around anterior teeth make your teeth look darker.
A tooth that you have knocked in the past can go non vital and darker.
Teeth were dipped in Coca Cola. This is the tooth staining over time.
What causes teeth staining?
Main causes of teeth staining are: coffee, red wine, smoking, leakage, old composite or amalgam fillings, age, fluorosis, dental trauma, tartar buildups, tooth decay.

Teeth are made up of roots and pulp, a porous substance called dentin to surround the roots, and the hard outer covering called enamel. The enamel is fairly translucent, and the yellower color of the dentin can show through.

Teeth discoloration can come from superficial stains on the enamel surface, or be caused by changes from inside the teeth. Tooth discoloration is often simple to treat, as long as the dentist can determine the underlying cause.

 

Three Types of Tooth Discoloration

These are the three classifications dentists use when diagnosing discolored teeth:

  • Extrinsic discoloration comes from staining on the outer layer of the enamel.
  • Intrinsic discoloration comes from the darkening of the inner structure of the tooth.
  • Age related discoloration comes from a combination of extrinsic and intrinsic discoloration.

 

11 Common Reasons for Tooth Discoloration

The leading causes of dental stains include:

 

1. Superficial staining

Chromogenic compounds in foods, beverages, and other habits can cause extrinsic dental stains. Often these come from regular and frequent exposure to highly pigmented foods or beverages like coffee, dark juices, or wine. Tooth stains will adsorb the pigments of the substances and dull the smile. Tobacco use, including smoking or chewing, also causes extrinsic stains. The tar residue left on teeth will look black or brown and only a dentist can help remove these deep stains.

Does decaf coffee and tea stain your teeth?

 

2. Decayed teeth

Inadequate brushing and flossing causes plaque buildup on the surface of teeth. Dental plaque that contains bacteria or fungi can look green or orange, and accumulation of dental plaque can lead to decay. Then early signs of decay will lead to brown or yellow patches on teeth. As decay gets worse, cavities start to form, and areas of the teeth become greyish-black.

 

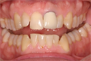
3. Discoloration after a root canal treatment

Root canal treated teeth tend to be darker and duller than the adjacent natural teeth. The dark root filling material can permeate the porous dentin and cause darkening of the tooth. This causes a permanent, dark brown discoloration of the tooth. The enamel appears yellow or brown, but might also have a pink or purple hue.

 

4. Dental trauma

Much like endodontically treated teeth, trauma can cause changes in the tooth’s nerve space. In response to the trauma, the body releases red blood cells containing hemoglobin, an iron-rich compound. As red blood cells decompose inside the tooth they release darker iron pigments that can penetrate and darken the dentin.

 

5. Medications taken during enamel formation

Certain medications can also cause permanent discoloration of teeth. Tetracycline is well known for making teeth look yellow, brown, or grey. Even some mouth rinses containing chlorhexidine and cetylpyridinium chloride can result in dental staining.

 

6. Fluorosis

Excessive ingestion of fluoride during the developmental stages of teeth can cause fluorosis. The condition often includes chalky-white patches on the enamel. Depending on the severity, fluorosis can be the cause for yellow and dark brown patches and hypoplasia (poor enamel quality causing teeth to chip off easily).

 

7. Tooth discoloration over time

It is normal for teeth to darken over the years. Usually the dentin will darken and the enamel layer goes thinner due to erosion and abfraction lesions. Both of these result in teeth looking darker and duller with age.

 

8. Tooth discoloration due to amalgam fillings

The dark fillings, also known as silver or amalgam fillings, consist of several metals incorporated in an alloy. Most of these metals have dark colors and this is considered to be the main disadvantage of the amalgam material. Since every metal corrodes, the metal components in the amalgam are not an exception. This process leads to absorbing small metal particles into the dentinal tubules and enamel prisms causing dark discoloration of the teeth that can often be noticed.

 

9. White fillings gone dark

Tooth colored fillings, also known as white or composite fillings, can go dark with time. This intrinsic change of color can cause bad esthetics especially if the filling is on the buccal surface of anterior teeth. Best solution in these cases is to have these old fillings replaced.

 

10. Leakage around a filling

Sometimes, if there is a gap in between the white filling and the tooth, it is possible for the chromogen to infiltrate deeper below the filling into the dentinal tubules. This condition is usually symptomless but it is not esthetically pleasing. Replacing the whole white filling and smoothing the filling over is the best approach to go for.

 

11. Edge of a crown showing through

Porcelain fused to metal (PFM) crowns are a great solution to severely destroyed teeth but they come with disadvantages as well. The metal cap that covers the tooth stump has a dark color. If such a crown is placed on an anterior tooth, patients run the risk of compromised esthetics in the area. If there is even a slight gum recession around the crown margin the dark metal edge shows through the thin layer of porcelain in the cervical park of the crown.
For anterior crowns patients are better off having porcelain fused to zirconia crowns (PFZ) or pure ceramic crowns.

12. Discoloration due to tartar buildups

Every one of us should have a scale and polish with the dentists or dental hygienist every 6 months. Of course this is an approximation – some people need it more often than the others, 6 months is just the average recommendation.
When the plaque on the teeth calcifies, it turns into hard yellowish to dark brown buildups called tartar or calculus. This can significantly compromise the beauty of your smile because teeth appear to be darker.

 

Prognosis and treatment for tooth discoloration

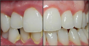
Most extrinsic stains can be treated by dental cleanings, home care, and teeth whitening. The dentist will apply a bleaching agent to eliminate stains on the enamel. However, teeth whitening will not work for intrinsic stains. In these cases you will probably need internal tooth whitening, crowns or veneers to treat discoloration.
 

Comments

Be the first to comment on this article

Please register if you want to comment
 

Partners and Sponsors

Copyright © 2024 DentaGama All rights reserved