Sublingual Caruncle

May 08, 2020


Sublingual Caruncle
Location of the sublingual caruncle - under the tongue
Anatomy of the sublingual caruncle and surrounding glands and ducts
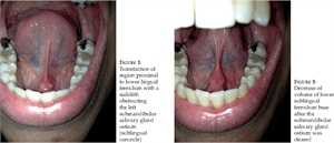
Obstructed submandibular duct with a salivary gland stone (sialolith)

In biology, caruncle is derived from a French-Latin Terminology that meant "flesh." Anatomically, caruncle refers to a small fleshy growth. The human body contains three types of caruncles: Sublingual, Urethral and Lacrimal. Dental professionals are more concerned with the sublingual caruncle or the caruncula sublingualis.

 

Anatomy

 

There are three major salivary glands in the oral cavity: Parotid gland, Submandibular gland and the Sublingual gland. All three glands have their own ducts through which their secretions are excreted in the oral cavity. The submandibular gland's duct is called the Wharton's duct. This duct runs above the mylohyoid muscle, goes forwards and medially above the floor of the mouth and finally ends beside the lingual frenum. In its final course beside the lingual frenum, the sublingual caruncle is joined by the excretory ducts of the sublingual salivary gland: Ducts of Rivinus (minor) and Bartholin's duct (major). Hence, the region where the Wharton's duct, Bartholin's duct and the Ducts of Rivinus meet on either side of the lingual frenum is called the Sublingual Caruncle or the Sublingual Papilla.

The sublingual caruncle is a papilla located medial to the sublingual gland and lateral to each side of the frenulum. Murakami et al observed in 302 adults that the lingual frenum was attached on the sublingual caruncle in 31% of the adults whereas it was attached in the alveolar mucosa in 69% of them.

 

Clinical considerations

 

Sialolithiasis

 

When there is a calculi present in the salivary duct, the obstruction of the salivary flow causes an inflammatory response. This condition is called sialolithiasis. When such an obstruction occurs in the submandibular or the sublingual region, it causes a swelling in the region of sublingual caruncle. The submandibular duct is the most affected duct in cases of sialolithiasis because of its tortuous course. Treatment of this includes extraction of the calculi causing the obstruction.

 

Ranula

 

A ranula is a mucocele on the floor of the mouth. It is a mucous extravasation cyst caused primarily due to an injury to the sublingual or submandibular salivary glands. It can be either a superficial swelling restricted to the sublingual region or a deep plunging lesion that extends cervically. Depending on the size and intensity of the ranula, various surgical treatments have been proposed. A modified L-shaped incision is often used while excision of the ranula along with the sublingual gland. In this incision, the distal part of the mandibular first molar, the sublingual caruncle and the submandibular duct are taken as reference anatomic landmarks.

 

Ankyloglossia

 

Surgical treatment of Ankyloglossia can be done by three procedures: frenotomy, frenectomy and frenoplasty. In uncooperative children, surgical procedures for ankyloglossia are done under general anaesthesia. This is because the sublingual caruncle and the deep lingual vein are at the greatest risk of injuries due to bodily movements of the child.

In adult patients, if the attachment of the lingual frenum is high in the alveolar mucosa, then the chances of the sublingual caruncle getting injured increases. This is because the proximity at which the incision has to be made is near the alveolar mucosa. However, such cases of the injury to the sublingual caruncle are rarely reported.

 

Celiac disease

 

A few cases diagnosed with celiac disease, a chronic intestinal disease has shown the presence of symptomatic lesions in the oral cavity. These lesions lasted for a month and were most commonly found on the tongue, the sublingual caruncle region, the vestibular fornix and the lingual apex. Topical medicaments provided an instant relief against these lesions.

 

Sialadenitis

 

Infection of the sublingual gland due to a bacteria or virus causes the inflammation of the sublingual papilla. The nature of the inflammation can be acute or chronic. Depending on the severity, treatment modalities include antibiotics, sialogogues, oral hydration or surgical intervention.

Various anatomic studies on cadavers have revealed that it is not mandatory as to which duct, the sublingual or submandibular shall open into the sublingual caruncle first. Studies have also reported the absence of the Bartholin duct in sublingual caruncle. Double ductal openings of either the sublingual or submandibular gland in the sublingual papilla have further complicated the definite anatomy of sublingual caruncle. Hence, in pathologies concerned with the floor of the mouth, proper imaging techniques are recommended in order to know which salivary gland is involved.

Comments

Be the first to comment on this article

Please register if you want to comment
 

Partners and Sponsors

Copyright © 2024 DentaGama All rights reserved