Tanner Splint

August 15, 2015


Tanner Splint
Tanner Appliance
Tanner Dental Splint

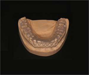
This is a stabilization splint that helps to minimize abnormal activity of the masticatory muscles by providing ideal bite. Named after Dr. Henry Tanner, it is constructed for the lower jaw and is therefore not easily visible. The Tanner splint is useful for addressing pain upon waking in the masticatory muscles and the TMJ. With time, this splint results in programming the jaws to their natural position. While other stabilization splints are flat at the back and are used to increase the vertical dimension, the Tanner appliance has shallow depressions at the posterior region. Generally the front teeth will not come in contact when the back teeth press together. This splint is usually prescribed by dentists for patients dealing with tooth mobility, recession, bruxism, periodontal disease and tooth wear. It is normally worn at night and requires periodic monitoring and adjustments by the dentist. The patient may need to wear it for about 3 to 6 months for best results.

Comments

Be the first to comment on this article

Please register if you want to comment
 

Partners and Sponsors

Copyright © 2024 DentaGama All rights reserved