Teeth Erosion

November 07, 2015


Teeth Erosion
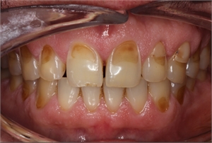
Teeth erosion due to overconsumption of acidic foods and drinks.
Enamel erosion is caused by acidic demineralization of the tooth surface. It can lead to sever wear and dentin exposure.

Dental erosion can be described as loss of enamel due to acid activity on the surface of the teeth. Normally saliva has the buffering capacity to neutralize the effects of acid attacks. However in certain situations, dental erosion exceeds this natural ability to reach a balance. Erosion is different from tooth decay where bacteria play the main role.

 

Signs of erosion

  1. The first sign is a slight twinge of pain with thermal stimulation when eating something hot or cold. There can also be sensitivity to eating something sweet. This can change to sudden sharp pain as erosion advances
  2. Another noticeable feature is the discoloration or yellowing of teeth as the inner dentin becomes exposed
  3. A close look will reveal minuscule pits in the surface of the enamel. Additionally, the edges of the teeth will become irregular as more and more enamel gets eroded

 

Causes

Several factors promote acidity levels within the mouth, thereby leading to discomfort and the need for expensive restorative work.

  1. Intake of food that has high acidic content is the main culprit in tooth erosion. These include carbonated drinks as they contain phosphoric acid and citric acid, fruit drinks that contain citric acid, diet colas and so on
  2. Medicines that induce low saliva production such as antihistamines, antidepressants, diuretics, aspirin and others
  3. Dry mouth or low saliva production due to certain systemic disorders like diabetes, Parkinson’s, Sjogren's syndrome, and others
  4. GERD or acid reflux as it brings stomach content into the mouth which is highly acidic in nature
  5. Gastrointestinal problems such as vomiting which is again highly acidic. People who have hiatus hernia or any esophageal problems are also prone to teeth erosion
  6. Any other condition which causes frequent vomiting, for example, bulimia, will be harmful for the teeth

 

Prevention

Minimizing acid attacks on the enamel are the best line of treatment so that the natural process of remineralization can occur. The following steps can make a remarkable difference.

 

  1. As far as possible, reduce the number of times that you have fruit juice, sodas and acidic foods like citrus fruits
  2. It is not the amount of acidic food eaten but the duration it remains within the mouth that needs to be minimized. Therefore, it is advised to drink from a straw and not to swish the juice in the mouth. The same also applies for wine
  3. Having sugar-free chewing gum after a meal is an excellent method for stimulating saliva production. This, in turn, helps to re-build enamel and reduces tooth erosion
  4. If low saliva production or dry mouth is your problem then increasing plain water intake is helpful.
  5. Though brushing is good for dental health, it is better to give a gap of at least one hour after having something acidic. This is because the enamel is softened after an acid attack and brushing straight after makes it more prone to damage.
  6. Using fluoride toothpaste strengthens enamel making it less susceptible to erosion.

 

Treatment

Treatment options for tooth erosion is limited to restoration work in the form of composite restorations, inlays, onlays and dental crowns, depending on the extent of erosion.

Comments

Be the first to comment on this article

Please register if you want to comment
 

Partners and Sponsors

Copyright © 2024 DentaGama All rights reserved