Tooth gemination in dentistry

June 29, 2016


Tooth gemination in dentistry
Tooth gemination is also known as tooth twinning
Gemination of teeth appears when one tooth bud produces two teeth bonded together.
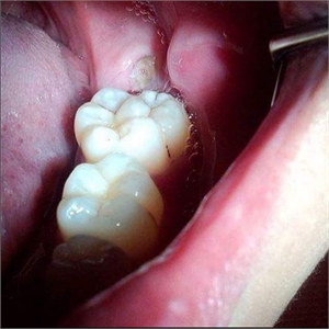
Teeth gemination in molars
Gemination can be described as teeth ‘twinning’. In dental context, gemination refers to a developmental irregularity in which a single tooth germ divides resulting in a bifid crown on a single root, that is, two teeth develop together from a single tooth bud. The two parts of the double tooth will be exact images of each other. It is seen as a cleft crown on x-rays where the radiopaque enamel outlines the invagination.
 
 
What is the difference between teeth fusion and tooth gemination?
 
Gemination is very often confused with fusion (two teeth unite to become one) but may be differentiated based on the fact that the number of teeth in fusion is less than the actual number of teeth that should be present in the mouth. The main difference lies in the fact that a tooth with gemination will have a single root and canal whereas in fused teeth, there will be independent roots and canals.
 
 
Sites of Occurrence
 
They are more commonly observed in baby teeth than in the permanent teeth. They most frequently occur in the primary upper incisors.
 
 
Cause
 
The main cause of gemination is unknown, but these factors have been put forward as possible reasons. 
 
  1. Vitamin deficiency
  2. Hormonal irregularities
  3. Any type of infection or inflammation near the tooth bud during the time of tooth development
  4. Increased intake of medicines
  5. Any hereditary disease
  6. Radiation therapy causing injury to the growing tooth germ
 
Dental Implications
 
  1. The teeth may be misaligned which may cause difficulty in chewing and injury to adjacent structures
  2. The presence of a large crown may cause a problem in accommodation of all teeth leading to an inconvenience in spacing
  3. The symmetry of the arch may be compromised due to the enlarged crown
  4. The notch delineating the two portions of the crown may compromise the looks of the patient in case of anterior teeth involvement
  5. The eruption of the adjacent tooth may be obstructed
  6. The grooves marking the two crown portions may provide a niche to harbour plaque and debris which make the tooth susceptible to dental caries
  7. Periodontal health is also at risk due to plaque accumulation
 
Treatment
 
  1. In case of large grooves, the teeth can be reshaped and then restored with a tooth colored restorative material so as to decrease plaque accumulation 
  2. The other method of treatment includes reduction of the mesio-distal width of the tooth and then a final porcelain crown may be installed after endodontic therapy.
  3. The aesthetically compromised tooth can undergo reshaping and then can be built up with a composite restorative material to give it a normal appearance.
  4. The tooth can also undergo an endodontic treatment after which the crown can be surgically divided into two teeth.
  5. If the tooth is extremely compromised and endodontic therapy does not seem a viable option, extraction of the tooth and then a prosthetic replacement like a fixed partial denture (bridge) may be needed.
  6. If the patient is unwilling to undergo any treatment, he should be advised to maintain a strict oral hygiene practice in order to prevent plaque accumulation and bacterial contamination. Thorough brushing twice a day along with the use of a mouthwash is recommended.

Comments

Be the first to comment on this article

Please register if you want to comment
 

Partners and Sponsors

Copyright © 2024 DentaGama All rights reserved