What are clip on veneers?

January 20, 2019


What are clip on veneers?
Snap on veneers resemble a dental splint that fits on top of your teeth
Press on veneers should be custom made, in order to fit on your existing teth
Removable dental veneers are a quick way to deliver a stunning white smile
Snap in veneers can clip on top of your teeth
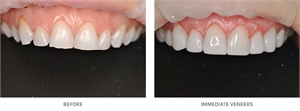
Clip on dental veneers can fill up the gaps left after teeth extractions and provide an instant white smile
Instant veneers are also known as clip in teeth, snap on smile and removable dental veneers
Snap on smile is a reserved brand of removable teeth which improve the appearance of your smile

As advancements are made in the dental community, it is becoming increasingly easier to maintain a beautiful, natural-looking smile. One of the most popular cosmetic treatment options are dental veneers. Many people have heard of veneers, but may not be exactly sure what they are, or what they do. Patients know that celebrities usually go for this option to correct their smiles and achieve stunning shiny smiles.

 

What is a veneer? 

 

Veneer is a layer of material that is placed directly over the natural tooth in order to improve the patient's aesthetics and smile line. Veneers are usually comprised of some sort of dental composite or porcelain-infused material to ensure that they look as natural as possible and enhance the outlook rather than drawing negative attention.

 

Clip on veneers vs permanent veneers

 

Clip on veneers were created to provide a temporary solution that rivals the traditional permanent veneer treatment option. Permanent veneers can be extremely costly, and people express that while they love the way their veneers look, they can prove themselves to be rather difficult to manage. Conventional veneers are adhered to just one surface of the natural tooth and they have the potential to become loose, or even completely detach from the tooth. Not only is this annoying, but it can be extremely embarrassing for the individual, especially if they are out in public when the veneer becomes loose or comes off in one piece. Reattaching the veneer means a visit to the dentist, which is inconvenient and can cause an extra expense. The surface veneers are bonded to is the visible outer surface of the tooth called buccal or facial surface. The incisal edge of your teeth are also wrapped up in the veneer material.

 

Clip on veneers eliminate the concern for losing a veneer, or the restoration becoming loose. Snap on veneers do not require the natural tooth to be shaved down which makes it a minimal invasive approach to correcting a smile. Clip on veneers fit directly over the natural teeth, quite literally “clipping” into place. The snug fit over the natural teeth ensures that the individual will not have to worry about the veneer becoming loose, but it is advised to avoid eating with the clip on veneers in the mouth, as food can easily become trapped between the natural teeth and the splint.

 

Contraindications

 

Since their introduction, veneers have proven themselves to be an excellent method of treatment that allows to achieve the smile of their dreams. While they have proven to be beneficial, there are dental professionals who believe that prosthetic dental work like veneers have the potential to cause issues down the road, when done incorrectly. During the initial process of applying a veneer, the dentist must shave off a certain amount of the natural tooth. If the veneer is applied incorrectly and fails, the tooth has the potential to fail completely, and further restorative work will have to be done. Clip-on veneers eliminate this issue, causing no damage whatsoever to the natural teeth.

 

Price and lifetime expectancy of snap on teeth

 

As compared to traditional veneers, clip on veneers cost a fraction of the price, but they are not expected to last nearly as long. Traditional veneers are permanently cemented into the mouth on top of the natural tooth, and when properly installed and maintained, have the potential to last many years. Clip on veneers, when properly maintained, have the potential to last just a few years. Many dentists prefer to offer clip on teeth as a temporary option during full mouth rehabilitations or extensive implant restorative treatment.

Comments

Be the first to comment on this article

Please register if you want to comment
 

Partners and Sponsors

Copyright © 2024 DentaGama All rights reserved