What is a dental black triangle?

March 28, 2021


What is a dental black triangle?
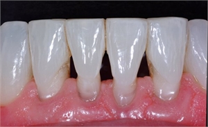
Dental black triangles, also known as teeth black triangles, are the dark areas between the teeth
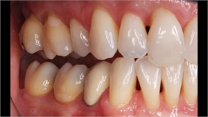
Dental black triangle treatment with dental crowns. Before and after correction of teeth black triangles

A smile needs to be attractive from a social point of view. There are many tiny details that make a smile. Simply getting your teeth whitened does not mean you have a good smile. Apart from the color of the teeth, the gums, the alignment of the teeth, the gap between two adjacent teeth needs to be considered.

 

The area of the gums between two teeth is called the interdental papilla or the interproximal papilla. This area is defined by the density of the gums, the blood supply of the gums in that area, the attachment of the gums to the underlying tissues and the contact point between two adjacent teeth. The shape of the interdental papilla in the front teeth is pyramidal whereas in the back teeth it is col or bridge shaped.

 

The interdental papilla is a minor part of the group of tissues called the periodontium. The periodontium defines the health of the teeth and the way it is afixed to the underlying socket. The biotype of a periodontium can be either thick or thin. The way the gingiva braces the teeth can be shallow, high or scalloped (wavy). These factors influence the health of the interdental papilla. Moreover, the shape of the teeth can be round, square or conical, which is yet another determinant of the health of the interdental papilla.

 

The loss of interdental papilla can occur when the bony support of the teeth is poor. This leads to the gingiva getting recessed, thereby exposing the interdental papilla. A high gingival margin further increases the chances of loss of interdental papilla. A thin biotype of the periodontium means less fibrous tissue which infers a fragile tissue architecture. This further contributes to the elimination of interdental papilla. The absence of the interdental papilla is more commonly seen in triangular shaped teeth. When the interdental papilla is lost, it results in a triangular dark void between the teeth which is known as a black triangle.

 

The reason why the bony support, teeth contacts, periodontal health degrades is because of poor oral hygiene status, abnormal shape of teeth, increased space between teeth and loss of teeth. It is important to correct the black triangle as it may interfere with speech (the triangular void permits the passage of air) and aesthetics (smile). In order to correct this dentists often use a surgical or a non-surgical approach.

 

Non-surgical approaches

 

Interdental papilla maybe lost due to improper oral hygiene techniques like vigorous toothbrushing or flossing. The patient should be educated about the proper technique and the lost tissue can heal gradually.

 

Restorative procedures includes improving the contact point between teeth. Composite materials can be used to modify the contact near to the bottom-most portion of the crown, thereby eliminating the dental papilla. A prosthesis in the form of crown can also help.

 

An orthodontic approach involves correcting the spacing between the teeth. In this the dentist uses wires and appliances to close the gap between teeth and eliminate the black triangle. However, care should be taken that excessive force is not applied by the appliance, else the gingival tissue becomes inflamed.

 

Another approach to interdental papilla removal is to remove unwanted tissue (curettage) in the region of the black triangle every 15 days for 3 months. It has been reported that this technique can recreate the lost interdental papilla in 9 months.

 

Surgical approaches

 

Flap surgery is commonly employed by periodontists to correct black triangles. These flaps are incised from the nearby tissue in order to correct the black triangle. Various types of flaps can be raised, extended and sutured depending on the extent of the loss of the interdental papilla.

 

Grafting can be done to cover the black triangles. This is a technique that utilizes the tissues of one's own mouth from another site and attaching it later in the region of interdental papilla.

 

Microsurgery has been developed to keep the entire surgery as minimal as possible. Incisions are not utilized, meaning the tissue won't bleed and the entire process will be less traumatic.

 

All the non-surgical and surgical techniques employed, aim to retain the "pink" aesthetic smile and remove the black triangles. Black triangle removal thus elevates the overall oral health status apart from improving the smile of the patient.

Comments

Be the first to comment on this article

Please register if you want to comment
 

Partners and Sponsors

Copyright © 2024 DentaGama All rights reserved