What is dental shimstock

July 11, 2020


What is dental shimstock
Dental shim stock is a thin foil used to check occlusal forces
Shimstock in dentistry is a thin foil used to check how the opposing teeth meet each other

A person whose tooth is structurally impaired needs a treatment which can aesthetically and functionally restore that tooth. In case a tooth is extensively carious, a restoration material is used to restore the tooth structure following the removal of the carious portion. In case a tooth undergoes a root canal treatment, a crown is given following the removal of noxious agents causing pain to the tooth. In case of a missing tooth, a prosthesis may be given. However, the treatment does not stop there.

 

In order to determine the success of the treatment, it is important that the patient feels no discomfort in his mouth and can join his upper and lower teeth with ease. This ease while occluding both the upper and lower teeth happens when the grooves on the chewing surface of lower teeth are met in respect to the cusps of the upper teeth. A healthy bite also signifies that the patient does not feel any excessive pressure in the facial region when his teeth come in contact with each other. This means that the muscles of the face are also at ease during a bite or when at rest. A good bite can also help in proper chewing, proper speech and proper maintenance of oral health. One of the methods through which the dentist ascertains a good bite is by placing a thin foil called the shimstock.


"Shim" is a material that is used to fill thin spaces between any two objects. Based on the area to be filled, the shim is made with a "stock" which can indicate to any material. In dentistry, a shimstock measures only 8 mm in width and has a thickness of 12 microns or 8 microns.

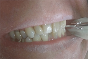
Following a restoration, a dentist puts the shimstock between the teeth that is restored and the antagonist tooth in the opposite arch. The dentist then asks the patient to bite on the shimstock.
The two main advantages of using a shimstock in this procedure are because of its thickness and composition. Firstly, the minimal thickness allows for an accurate registration of the occlusion. Secondly, the shimstock is made of metallic polyester, which adds to its sturdiness when the patient bites.


The dentist does not limit checking the occlusion only to the tooth of interest. The shimstock is moved from one tooth to the other in order for checking the occlusion. An instrument known as Miller's forceps is used to hold the shimstock. When the shimstock is bit upon, the dentist tries to pull the film out. The dentist can encounter three scenarios after this:

 

1) If the film is easily removed, it indicates that the tooth is not restored properly, making it fall short of the proper bite position. If ignored, the patient can suffer from problems like food lodgement.

 

2) A snug fit of the shimstock between the upper and lower contacts of the teeth ensures a proper treatment is carried out. This procedure where the patient bites on to the shimstock is called the shimstock hold.

 

3) If the shimstock tears apart when the dentist tries to pull the shim stock, that means the hold is too strong. It indicates that the muscle tone is too stressed and the bite force is higher than normal.

 

The most commonly used Shimstock films are color coated. Color coated films help the dentist in determining which area of the tooth needs to be focused upon in order to ensure proper occlusion. When the shimstock is removed following the patient's bite, it leaves a colored mark on the areas where the tooth is to be trimmed in order to correct the restoration. Moreover, the color used in the shimstock is easily transferred to restoration or prosthesis made of any material: ceramic, plastics, composite, stainless steel, etc. Moreover, the color spots can also be made by these films on moist surfaces of natural teeth. Such a shimstock can have either one single color on the entire film or can have two different colors on one film. The latter is particularly useful in marking both normal and abnormal contacts. The color coded shimstock is 12 micrometres in thickness. A thinner variant of 8 micrometers is also available. This is used in patients with a dysfunction in the temporomandibular joint. Conventional shimstock without any coating are available in two types of thickness: 8 mm and 16 mm. These films are uncoated and hence do not leave any marks on the high spots, making them less accurate.


The advantages of using a shimstock are not restricted to its use after the treatment. In cases where a prosthesis needs to be given, the dentist might transfer the records of the patient's occlusion pre-treatment by using a Shimstock. These records are sent to the dental laboratory where the technicians create a prosthesis based on those records. It is important to note that any record on a shimstock is accurately obtained if the patient is sitting in an upright position.

 

What is the difference between articulating paper and shimstock?


A shimstock is often compared with an articulating paper. An articulating paper performs the same function as that of shimstock. However, an articulating paper is thicker (200 micrometers) than the shimstock. Moreover, it is made up of a a non-adhesive wax which is dyed with color. Articulating paper is more tear resistant compared to shimstock. The only advantage that articulating paper holds over shimstock is that the latter is more expensive. However, given the benefits of the shimstock and the fact that it can be available in 16 feet long rolls that can last for a long time, a shimstock is more preferred. Some manufacturers also use a shimstock dispenser, where the shimstock is dispensed as long strips.


The use of shimstock is essential for the dentist to evaluate the occlusion both before and after the treatment. It plays a significant role in improving the precision of the given treatment. The use of shimstock can help the dentist in eliminating any high contacts following a restoration, stabilizing the vertical dimension while giving a prosthesis (fixed or removable dentures, implants, etc) and retaining the functional ability of the tooth and the occlusion as a whole.

Comments

Be the first to comment on this article

Please register if you want to comment
 

Partners and Sponsors

Copyright © 2024 DentaGama All rights reserved