What is High-arched palate or Gothic palate?

June 07, 2019


What is High-arched palate or Gothic palate?
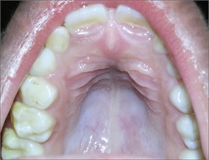
Palate is also known as the roof of the mouth
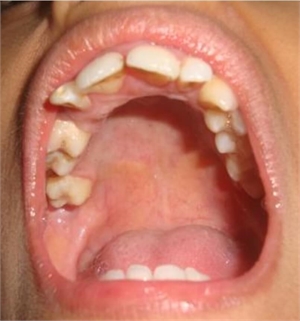
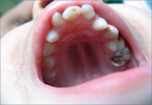
High-arched or gothic palate - deep and narrow roof of the mouth
Palate consists of hard palate and soft palate
High-arched palate is also known as high-vaulted palate or gothic palate
High-arched palate is also known as gothic palate or bubble palate

High-arched palate, also known as high-vaulted palate, gothic palate or bubble palate is a condition when the roof of the mouth, or palate is high and narrow. It currently affects approximately 30% of people residing in the U.S. In some it is congenital, while in others it is a condition formed after birth due to certain behaviors. In addition, it is sometimes a symptom of of the following syndromes:

 

• Crouzon syndrome
• Down syndrome
• Apert syndrome
• Treacher Collins syndrome
• Marfan syndrome
• Incontinentia pigmeti

 

What causes high-arched palate?

 

When not caused by a syndrome or by a congenital birth defect, narrow palate can be caused by thumb-sucking, pacifier use and excessive mouth breathing. Mouth breathing can sometimes be the cause of a high-arched palate. It can be triggered by:

 

• Chronic colds
• Enlarged tonsils and adenoids
• Asthma
• Deviated nasal septum
• Thumb-sucking
Tongue-tie

 

As you can see, thumb-sucking can cause the palate to grow high and narrow, and is not always a symptom of mouth breathing, but a cause in and of itself.

 

All of these symptoms may lead to a diagnosis of Orofacial Myofunctional Disorders (OMD). OMD occurs when there are abnormalities in tongue, jaw and lip placement, leading to a hyper-functioning of the facial muscles. OMD is often the cause of a high-arched palate.

 

When thumb-sucking, OMD, mouth-breathing or all of the above result in a narrow palate, it is due to the positioning of the tongue. A baby’s tongue is the main factor in developing the form of the hard palate. It serves as a sort of mold that helps shape the roof of the mouth. When a baby spends too much time with its mouth open, or its tongue sticking out, the hard palate doesn’t have a proper guide to follow when forming. Instead of broadening to match the shape of the tongue, the palate continues to arch and narrow.


Effects and symptoms of high-arched palate

 

• Difficulty nursing: A high-vaulted palate makes it difficult for a baby to develop proper suctioning action to either a bottle or a nipple.


• Difficulty breathing: The roof of the mouth is also the floor of the nasal cavity. In the case of a high-arched palate, the roof of the mouth extends into the area that would otherwise be preserved for the nasal cavity. This causes the need to breathe through the mouth, which in turn causes the gothic palate to become more severe. 


• Nasal congestion: As nasal passages grow smaller, they become more difficult to clear, making breathing solely through the nose a challenge.


• Difficulty sleeping: Breathing through the mouth can lead to sleep apnea, a condition that disrupts the natural sleep cycle.


• Speech difficulties: Since the palate is farther away from the tongue, the tongue has more difficulty making contact with the roof of the mouth in order to produce ‘s’ and ‘sh’ sounds. 


• Oral health complications: Bubble palate can lead to swollen gums and crowded molars. Swollen gums provide a place for bacteria to hide, which can lead to a higher risk of tooth decay and gingivitis.


• Changes in facial structure: A high and narrow palate can cause structural changes to a baby’s face, such as narrower eyes and a downturned mouth. 


How to diagnose high arched palate

 

In order to diagnose pseudo-cleft palate, doctors look at several measurements in the mouth such as the length, width, height and arch angle of the roof of the mouth. A vaulted palate is one that falls two standard deviations above the average measurements.


Treatments for high-arched palate

 

• Myofunctional therapy: Speech therapists will work with your child to do tongue-repositioning exercises in order to help return the tongue to its natural resting place.


• Palate expander: Your dentist or orthodontist may recommend a plate expander which helps the narrow upper palate gradually broaden. 


• Oral-maxillofacial surgery: If treatments using myofuntional therapy and palate expanders are unsuccessful, you can consider oral-maxillofacial surgery. This surgery will help expand the the width of the mouth’s roof, relieving breathing difficulties caused by a high-arched palate.


Is it necessary to seek treatment for high-arched palate?

If your baby has a high narrow palate that is not accompanied by the aforementioned symptoms, then treatment may not be necessary.

Comments

Be the first to comment on this article

Please register if you want to comment
 

Partners and Sponsors

Copyright © 2024 DentaGama All rights reserved