What is talon cusp and dens evaginatus?

June 29, 2016


What is talon cusp and dens evaginatus?
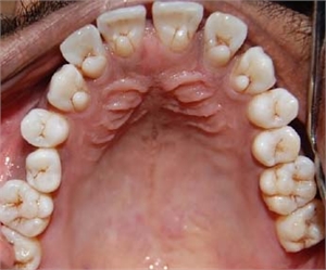
Talon cusps on the palatal surface of the upper teeth
Talon cusps are also known as dens evaginatus or supernumerary cusps.
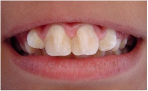
Dens Evaginatus on Lateral Incisor
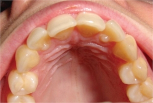
Talon Supernumerary Cusps
Sometimes talon cusps may be visible on the buccal surface of the teeth forming a pyramid-like structure of the teeth

Talon cusp is a rare dental abnormality where an extra cusp develops on the inner side of the upper incisors starting from the neck of the tooth. It was first described by Mitchell in 1892 and the term ‘Talon Cusp’ was coined by Mellor and Ripa in 1970 due to its resemblance to an eagle’s talon. It can be observed as a single malformation or may be associated with other genetic disorders.

 

Sites of Occurrence

It is most commonly observed on the palatal surface of the upper lateral incisors followed by the upper central incisors, the lower incisors and then the upper canines.They are mostly seen on the permanent teeth. However, some reports state the incidence of talon cusp in milk teeth as well.

 

Cause

  1. During the growing phase of the tooth germ, any increase in pressure from the adjacent tooth germs or any other external sources may lead to an out folding of the dental lamina causing the formation of a tooth germ.
  2. They may also occur due to hyper productivity of the anterior segment of the dental lamina
  3. Any trauma to the tooth germ may cause the formation of an extra cusp
  4. Transmission of the talon cusp trait through genes can be a cause of familial cases.

 

Dental Impact

  1. The cusp may be absolutely asymptomatic causing no problems to the patient.
  2. Aesthetics may be compromised due to the presence of a talon cusp.
  3. The patient may feel discomfort during chewing due to interference caused by the cusp.
  4. The groove separating the extra cusp from the affected tooth may be deep, making collection of food debris easy. This makes it susceptible to dental caries and microbial attack
  5. Excessive forces on chewing may lead to periodontal problems.
  6. Attrition may lead to pulpal exposure and the cusp may irritate the tongue while talking and eating
  7. Accidental fracture of the cusp may also occur.

Treatment

Treatment depends on the type of problems posed by the talon cusp and the extent of its growth.

  1. If the cusp is small and asymptomatic, no treatment is required.
  2. If the cusp has deep developmental grooves which are non-carious, they should be cleaned and all the plaque and debris should be removed. After this they should be sealed with a fissure sealant or composite.
  3. If the grooves are decayed, the carious portion should be removed and the cavity has to be filled with glass ionomer cement or composite resin.
  4. If there is any occlusal interference, the cusp has to be reduced. The cusp may or may not contain vital pulp tissue. If a substantial portion of the cusp is to be reduced, it should be done conservatively followed by desensitizing agent application.

Comments

Be the first to comment on this article

Please register if you want to comment
 

Partners and Sponsors

Copyright © 2024 DentaGama All rights reserved