What is the difference between composite veneers and porcelain veneers?

November 11, 2019


What is the difference between composite veneers and porcelain veneers?
Composite veneers have the disadvantage of staining over a long period of time. Ceramic dental veneers do not change color
Planning dimensions, shape and shade of dental veneers
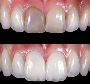
Dental veneers - before and after
Composite veneers installed in one appointment under rubber dam. Note that the gap between the incisors has been filled up - diastema correction
Step by step layering of composite veneers
Dental veneers made out of Lithium disilicate glass ceramic, also known as porcelain

What are veneers?

 

A dental veneer is a composite or porcelain coating that is bonded or fixed to the front of a tooth. Normally, people choose to get veneers when they have teeth that are discolored or cracked or chipped. Some people also use veneers to cover up gaps in between teeth.

 

Veneers are considered a better option to dental crowns when the situation allows, because they let the patient retain more of their natural tooth. Dental crowns, which are used to strengthen decayed teeth, require quite a bit of filing down of your original tooth. While porcelain veneers still require some filing, they don’t require nearly as much as crowns.

 

Composite veneers

 

Composite veneers are a more economical option than porcelain veneers. They are tooth-colored, just like porcelain veneers but due to their lower price and greater efficiency, they are quite a bit more common.

 

Composite veneers can be applied during a single visit to your dentist’s office. Your dentist, perhaps along with your input, will choose a veneer shade that best matches the rest of your teeth. Your dentist first prepares your teeth by roughening the surface of your tooth with an acid.

 

At this point, a sort of glue, or bonding agent is applied to the surface of your tooth. The composite material is then sculpted directly onto your natural tooth. This is done by building up the material in thin layers, until the desired shape is created. A light is used to harden the material, affixing it securely to your tooth’s enamel. Once the material is hardened and bonded, your dentist will smooth and polish it to match the rest of your teeth and to appear natural.

 

Composite veneers don’t require as much preparation as porcelain veneers, and they require much less time for application. They also are less expensive and easier to fix if broken than porcelain veneers. All of these factors make them a very popular option, especially for younger people. The problem with composite veneers, is that they don’t last as long as porcelain veneers, so you’ll need to go to the dentist more often to get them replaced. This of course, could result in greater costs over the course of a lifetime.


Porcelain veneers


The process for porcelain veneers takes quite a bit longer than composite veneers, and may even take up to three weeks from your initial consultation date. The first step of the process is to file down your teeth, including some healthy enamel potentially, in order to make room for the veneers.

 

Then, your dentist will make an impression of your teeth using a sort of putty. This impression will be used to make sure the porcelain veneer fits your tooth perfectly. If you are going to have to wait a while between tooth preparation and the actually fixing of the veneers, you may be given temporary veneers to protect your teeth in the meantime.

 

Once your porcelain veneers are ready to be applied, your dentist will use an acid, just like with composite veneers, to roughen up the surface of your tooth and also roughen the veneer. A dental adhesive is then applied and the veneer is fitted.

 

So why get porcelain veneers if they take longer and are more expensive than composite veneers? Well, porcelain veneers are make to exactly match the color and shape of your natural teeth. Thus it’s extremely difficult to tell that you’re wearing them. But make sure you feel 100% certain about getting them, because since the process requires filing down healthy enamel, this process is irreversible.

Comments

Be the first to comment on this article

Please register if you want to comment
 

Partners and Sponsors

Copyright © 2024 DentaGama All rights reserved