What is the difference between gum abscess and periodontal abscess?

April 07, 2025


What is the difference between gum abscess and periodontal abscess?

Dental abscesses are painful infections that can cause significant discomfort and lead to serious oral health issues if left untreated. Among the most common types are the gum abscess and the periodontal abscess. While both conditions may seem similar at first glance, they differ in causes, location, and severity. Understanding the difference between gum abscess and periodontal abscess is crucial for getting timely treatment and preventing complications. In this article, we’ll break down their distinct characteristics to help you identify and respond to each condition appropriately.

What Is a Gum Abscess?

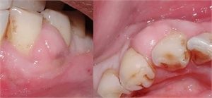
A gum abscess, also known as a gingival abscess, is a localized infection that affects only the soft tissue of the gum. It usually appears as a painful swelling or bump on the gum surface, often near a tooth.

Causes of Gum Abscess

This type of abscess typically forms due to:

Food particles or debris getting trapped between the teeth and gums

Trauma or injury to the gum tissue

Poor oral hygiene and bacterial buildup

Unlike deeper infections, a gum abscess does not involve the tooth root or the supporting bone.

Symptoms of Gum Abscess

Swollen, red, or tender gum tissue

A visible pus-filled bump on the gumline

Pain when chewing or touching the area

Bad breath or a foul taste

What Is a Periodontal Abscess?

A periodontal abscess is a deeper infection that affects the tissues surrounding the tooth, including the periodontal ligament and alveolar bone. It is commonly associated with advanced periodontal disease.

Causes of Periodontal Abscess

Common causes include:

Untreated or severe gum disease

Deep periodontal pockets that trap bacteria

Incomplete dental cleaning or blocked drainage

Immune system disorders or systemic health conditions

Periodontal abscesses are more complex and often lead to long-term dental damage if not addressed promptly.

Symptoms of Periodontal Abscess

Persistent, throbbing pain in the affected area

Swelling and redness of the gums

Gum recession and loosening of the tooth

Drainage of pus from between the teeth and gums

Difficulty biting or chewing

Main Differences Between Gum Abscess and Periodontal Abscess

Feature - Gum Abscess Periodontal Abscess
Location - Gum surface Deep gum tissue, bone, and ligament
Cause - Localized infection or trauma Advanced periodontal disease
Severity - Mild to moderate More severe, may cause tooth loss
Tooth Involvement - Rare Common
Treatment - Drainage, cleaning Deep cleaning, root planing, surgery
Understanding these differences helps in choosing the appropriate dental treatment and preventing further damage.

How Are These Abscesses Treated?

Gum abscess treatment typically includes:

Professional dental cleaning

Removal of trapped debris

Antibiotics if needed

Periodontal abscess treatment may involve:

Deep scaling and root planing

Drainage of the abscess

Antimicrobial therapy or surgery in severe cases

Early diagnosis and regular dental visits are key to managing both types of abscesses effectively.

When to Seek Dental Care

You should see a dentist immediately if you experience any signs of swelling, pus, or intense pain in your mouth. Delaying treatment can lead to serious complications, including tooth loss and infection spread.

Conclusion

While a gum abscess and a periodontal abscess may share similar symptoms, their causes, severity, and treatments are quite different. A gum abscess is typically a superficial infection caused by trapped debris, while a periodontal abscess results from deeper issues like advanced gum disease. Understanding the difference between gum abscess and periodontal abscess can help you seek the right treatment and maintain better oral health. Regular dental hygiene and timely checkups remain your best defense against both.

Comments

Be the first to comment on this article

Please register if you want to comment
 

Partners and Sponsors

Copyright © 2024 DentaGama All rights reserved