Why do my teeth have lines in it?

November 15, 2022


Why do my teeth have lines in it?
Craze lines are superficial cracks within the enamel structure
Teeth with lines in it

When we look at our teeth, what we observe is a set of hard and white structures of different shapes aligned in the arches of our jaws. The white portion that we see is the enamel. It is the hardest tissue in the human body containing nearly 96% minerals.

 

Changes within the enamel - the outer structure of the teeth

 

Maintenance of enamel requires proper hygiene of the oral cavity, consumption of nutritious and balanced food and consumption of optimum amount of fluoride. Being the outermost layer, the enamel is subject to a lot of changes in the oral environment. Since it is a mineralized tissue, it can be weakened through demineralization. This can occur due to lack of maintenance of oral hygiene, excessive forces on the teeth, consumption of excess sugar in the diet. In rare cases, developmental anomalies that are genetic in nature see the enamel being underdeveloped and hypoplastic, making it extremely weak.

 

Sometimes a patient might see lines on the surface of their teeth. These lines can be of three types. Firstly, they can be developmental in nature. Second, they can be due to excess consumption of fluoride. Third, they represent the first stage of tooth fracture.

 

Developmental lines in teeth

 

Developmental lines on tooth are more commonly seen in milk teeth. When the tooth is still in the developmental stage, a minor hindrance due to genetic reasons or any external factors like trauma, hormonal changes or consumption of certain drugs can alter the way the layers of the teeth are deposited. Over a period of time, these lines become prominent as the tooth completely erupts in the oral cavity. However, compared to the other types of "lines" these neonatal lines are rarely appreciable through the naked eye.

 

Fluorosis

 

Even though dental fluorosis very less often presents itself as a "line," there is still a possibility that it manifests itself in that manner. It is more commonly seen as patches or bands. When presented as lines, shapes or bands, the color of these lines can range from chalky white to yellowish to brown. Treatment usually involves masking of the fluorosed enamel through bleaching, microabrasion, composite restorations, veneers and crowns.

 

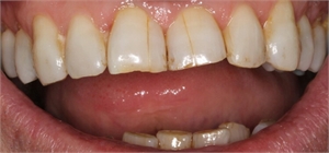
Craze lines in teeth

 

Craze lines are what one would more commonly see when they see lines on the surface of their teeth. They are more commonly a result of trauma to the tooth due to excessive force. The lines developed are microcracks that are formed due to the enamel being constantly challenged by the ever changing oral environment. Craze lines are diagnosed by transillumination or visible discoloration of these lines.

 

Craze lines can also be formed due to overzealous toothbrushing. In some cases, they are formed on the posterior (back) teeth when the patient has a habit of excessive teeth grinding and clenching. Most adult teeth do have craze lines on all teeth. However, they rarely cause any problems.

 

It should be the dental practitioner's duty to inform the patient about the presence of craze lines and tell them that the prognosis is still favorable. If craze lines deepen, they can result in cracks which eventually increases the chances of tooth fracture. In some cases, craze lines are also a source of sensitivity that a patient experiences when chewing or drinking foods of certain temperature and pH.

 

Craze lines are usually harmless, but they might not be accepted by the patient from an esthetic point of view. In these cases, craze lines are normally seen passing vertically on the front teeth. Treatment aspects usually includes restoration with a tooth-colored restorative material.

 

Older patients also have many craze lines on the surface of their teeth. In this age group, craze lines may even be discolored due to the wearing off of the enamel over the years. In these cases, the patient can also be given a choice to leave it untreated unless it causes a problem. If a treatment is opted for, then full facing restorations are recommended.

 

A patient must always seek the dentist's views if he or she observes a craze line or any other line on the surface of their teeth. This is because the patient cannot appreciate the depth of the crack and proper dental examination can reassure the patient about the health of the concerned tooth.

Comments

Be the first to comment on this article

Please register if you want to comment
 

Partners and Sponsors

Copyright © 2024 DentaGama All rights reserved