Dentagama   »   Dental clinics   »   United States   »   Brooklyn   »   Family Cosmetic and Implant Dentistry of Brooklyn NY

Family Cosmetic and Implant Dentistry of Brooklyn NY

Family Cosmetic and Implant Dentistry of Brooklyn NYFamily Cosmetic and Implant Dentistry of Brooklyn NY

The Best Dentist in Brooklyn
Considered as one of the finest dentist available in Brooklyn - and honored as the top New York dentist of 2017 - Family Cosmetic & Implant Dentistry of Brooklyn offers all the most popular dental procedures, from teeth whitening and cleaning to the treatment of complicated issues that require surgery. Both dentists are highly trained and experienced in cosmetic dentistry, as well as general family dentistry. Whatever your dental needs are, they can help.

If you’re looking for a cosmetic or family dentist in Brooklyn, who will be capable of treating most dental conditions, look no further. Whether you need cosmetic dentistry, orthodontics or periodontics, the father-and-son, board certified dentists at Family Cosmetic & Implant Dentistry of Brooklyn, will ensure you are confident and comfortable while they treat your oral health and preserve your beautiful smile. Not only can you trust them with your teeth, but your children’s teeth as well.

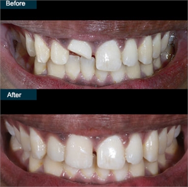
Cosmetic, Family & General Procedures
Dr. Alex Khabensky, DDS, and Dr. Igor Khabensky, DDS, are general dentists who also specialize in cosmetic procedures such as: 

veneers,

dental implants near me,

dental crowns.

Regardless of what procedure you may require, we can do it all. Your oral health is our biggest priority. Which means that before starting any cosmetic procedures, we will first examine your dental health, to lay a stronger foundation for a beautiful smile. 

Cutting Edge Cosmetic Dental Clinic in Brooklyn
Our Brooklyn, dental clinic is equipped with the most state of the art, advanced equipment available anywhere. We have the latest lasers and high precision microscopes. Implant dentists Alexander and Igor Khabensky DDS always use only top quality medical grade titanium or titanium alloy for all our dental implants. We have established relations with the best dental laboratories available in Brooklyn, which enable us to give you the most accurate and natural looking results. Get your dental implant treatments from us, the best implant dentist in Brooklyn.

Only board certified and highly trained cosmetic dentist like Alexander or Igor Khabensky DDS can determine an accurate diagnosis and administer the proper dental treatment needed. For more information about the dental services offered at Family Cosmetic & Implant Dentistry of Brooklyn or to schedule a consultation with the top rated dentists, please contact our Brooklyn NY office.
For more information about the Family Cosmetic & Implant Dentistry of Brooklyn, please contact our office by number  (718) 339-8852

Working Hours:
Monday: CLOSED
Tuesday: 10:00 am - 7:00 pm
Wednesday: 10:00 am - 7:00 pm
Thursday: 10:00 am - 7:00 pm
Friday: 10:00 am - 7:00 pm
Saturday: 9:00 am - 5:00 pm
Sunday: CLOSED

Payment: cash, check, credit cards.

Family Cosmetic & Implant Dentistry of Brooklyn
2148 Ocean Ave, Ste 401,
Brooklyn, NY 11229
(718) 339-8852

Web-address: https://www.dentistinbrooklyn.com

E-mail: info@dentistinbrooklyn.com

Google maps: https://goo.gl/maps/ryGk7UuvoUBX4xX77

https://plus.codes/87G8J25V+C8 Brooklyn

Nearby Locations:
Midwood | Marine Park | Madison | Homecrest | Mapleton
11230 | 11234 | 11229 | 11204

Our social links:

facebook.com
twitter.com
linkedin.com
instagram.com
youtube.com
tumblr.com
pinterest.com

yelp.com

tiktok.com

Find us at findatopdoc.com

View other locations Family Cosmetic & Implant Dentistry of Brooklyn has been mentioned:

wellness.com
wheretoapp.com
merchantcircle.com
americantowns.com
citysquares.com

Follow
Rating:
(5.0)
WRITE A REVIEW

Dental services

Dental Bonding
from 100$ - to 400$

Dental Veneers
from 250$ - to 1500$

Teeth Cleaning
from 200$

Exam, consultation, teeth cleaning and panoramic x-ray
$195

Contact Family Cosmetic and Implant Dentistry of Brooklyn NY

Type: Dental clinic
Country: United States
Address: Brooklyn, 2148 Ocean Ave, Ste 401,
Telephone: +1 (718) 339-8852
Languages spoken: English, Russian
Website:

Working hours
Tuesday
10:00 am - 7:00 pm h.
Wednesday
10:00 am - 7:00 pm h.
Thursday
10:00 am - 7:00 pm h.
Friday
10:00 am - 7:00 pm h.
Saturday
9:00 am - 5:00 pm h.

Latest reviews

Great place for checkups and any dental work! The whole experience is very good. Nice new building, professional, personable and polite check-in experience, and very knowledgeable Doctors. Plus it's a family business so everyone knows everyone else very well, but they are always extremely professional. They accept many insurances and are willing to work with you and the insurance if necessary.

Very great organization! I experienced great professionalism from the doctor and the staff. I am very happy with my new teeth. Highly recommend!

Gallery

Family Cosmetic and Implant Dentistry of Brooklyn NY
Family Cosmetic and Implant Dentistry of Brooklyn NY
Family Cosmetic and Implant Dentistry of Brooklyn NY
Family Cosmetic and Implant Dentistry of Brooklyn NY
Family Cosmetic and Implant Dentistry of Brooklyn NY
Family Cosmetic and Implant Dentistry of Brooklyn NY
Family Cosmetic and Implant Dentistry of Brooklyn NY
Family Cosmetic and Implant Dentistry of Brooklyn NY
Family Cosmetic and Implant Dentistry of Brooklyn NY
Family Cosmetic and Implant Dentistry of Brooklyn NY
Family Cosmetic and Implant Dentistry of Brooklyn NY
Family Cosmetic and Implant Dentistry of Brooklyn NY
Family Cosmetic and Implant Dentistry of Brooklyn NY
Family Cosmetic and Implant Dentistry of Brooklyn NY
Family Cosmetic and Implant Dentistry of Brooklyn NY
Family Cosmetic and Implant Dentistry of Brooklyn NY
Family Cosmetic and Implant Dentistry of Brooklyn NY
Family Cosmetic and Implant Dentistry of Brooklyn NY
Family Cosmetic and Implant Dentistry of Brooklyn NY
Family Cosmetic and Implant Dentistry of Brooklyn NY
Family Cosmetic and Implant Dentistry of Brooklyn NY
Family Cosmetic and Implant Dentistry of Brooklyn NY
Family Cosmetic and Implant Dentistry of Brooklyn NY
discount
photo
photo
photo

Family Cosmetic and Implant Dentistry of Brooklyn NY Team

Alexander Khabensky

Alexander Khabensky

Dentist

Brooklyn cosmetic and family dentist Dr. Alexander Khabensky’s gained the trust of his patients for his positive demeanor, excellent skills, and wonderful bedside manner. Dr. Alexander Khabensky’s patients consider him as caring, gentle, and a true master of his work. He enjoys all aspects of General Dentistry including endodontics, cosmetic dentistry, restorative dentistry, and laser dentistry.

Dr. Alexander constantly stays on top of his craft with his continuing education classes. His knowledge and passion for the field paved the way for his son, Igor’s, own journey into the field of dentistry. Igor Khabensky DDS a top rated Brooklyn dentist himself is now a partner at Family Cosmetic & Implant Dentistry of Brooklyn.

Besides cementing crowns and bridges, creating smiles, and restoring dental implants in his Brooklyn clinic, Dr. Alexander Khabensky is also an avid outdoorsman. He loves long walks with his companion Dasha, a miniature schnauzer, freshwater fishing along the Delaware River, and road trips to Pennsylvania.

Working Hours:
Monday: CLOSED
Tuesday: 10:00 am - 7:00 pm
Wednesday: 10:00 am - 7:00 pm
Thursday: 10:00 am - 7:00 pm
Friday: 10:00 am - 7:00 pm
Saturday: 9:00 am - 5:00 pm
Sunday: CLOSED

Payment: cash, check, credit cards.

Family Cosmetic & Implant Dentistry of Brooklyn
2148 Ocean Ave, Ste 401,
Brooklyn, NY 11229
(718) 339-8852
Web-address: https://www.dentistinbrooklyn.com

E-mail: info@dentistinbrooklyn.com

Google maps: https://goo.gl/maps/ryGk7UuvoUBX4xX77

https://plus.codes/87G8J25V+C8 Brooklyn

Nearby Locations:
Midwood | Marine Park | Madison | Homecrest | Mapleton
11230 | 11234 | 11229 | 11204

Igor Khabensky

Igor Khabensky

Dentist, Cosmetic Dentist, Dental Pain Specialist

Brooklyn dentist Igor Khabensky is a compassionate and dedicated general and cosmetic dentist serving the Brooklyn community. Dr. Khabensky received his dental degree after attending New York University and completed his residency in general dentistry at Woodhull Medical Center. He is highly experienced and competent in all areas of family dentistry such as pediatrics, tooth extractions, implants, and cosmetic dentistry.

Dr. Khabensky of Family Cosmetic & Implant Dentistry is affiliated with Woodhull Medical and Mental Health Center in Brooklyn, NY. Dr. Khabensky is multilingual in English, Spanish, and Russian, and his awareness of these different languages makes him more accessible to patients in Brooklyn from a variety of cultural backgrounds.

Dentist in Brooklyn, Dr. Khabensky’s top priority is to provide his patients with thorough treatment planning and fantastic bedside manner. Our Family Cosmetic & Implant Dentistry of Brooklyn is proud to offer our patients only the most revolutionary technology available in dentistry today: the Waterlase MD™ Dental Laser.

Working Hours:
Monday: CLOSED
Tuesday: 10:00 am - 7:00 pm
Wednesday: 10:00 am - 7:00 pm
Thursday: 10:00 am - 7:00 pm
Friday: 10:00 am - 7:00 pm
Saturday: 9:00 am - 5:00 pm
Sunday: CLOSED

Payment: cash, check, credit cards.

Family Cosmetic & Implant Dentistry of Brooklyn
2148 Ocean Ave, Ste 401,
Brooklyn, NY 11229
(718) 339-8852
Web-address: https://www.dentistinbrooklyn.com

E-mail: info@dentistinbrooklyn.com

Google maps: https://goo.gl/maps/ryGk7UuvoUBX4xX77

https://plus.codes/87G8J25V+C8 Brooklyn

Nearby Locations:
Midwood | Marine Park | Madison | Homecrest | Mapleton
11230 | 11234 | 11229 | 11204

News and articles by Family Cosmetic and Implant Dentistry of Brooklyn NY

Laser Gum Surgery and Gum Recession Surgery in Brooklyn NY

Gum surgery in the past required cutting, stitches and extensive healing time. You faced higher risks associated with the surgery, such as infection or excessive bleeding. At Brooklyn dentistry, by relying on the latest technology and lasers to perform procedures like gum recession surgery, your family dentist in Brooklyn provides you with the most modern options when dealing with dental issues that require gum surgery.

Emergency Dental Care in Brooklyn

Ideally, you already have a history of trust with your family dentists in Brooklyn You know you can count on them. This is especially important when you encounter a dental emergency. Urgent dental care can be scary and intimidating. You can rest easy knowing you’re in good hands with an emergency dental care doctor. A good emergency specialist takes care of your comfort during your emergency. Providing emergency toothache relief is the first priority of the emergency dentists in Brooklyn Alex & Igor Khabensky DDS.

Invisalign Dentist in Brooklyn NY

Your dentist in Brooklyn talks to you about the Invisalign cost and investment you’ll benefit from when you straighten teeth without braces. Whether you need teeth straightening yourself or have a teen who wants a straighter smile, your family dentist in Brooklyn, New York is here for you. We offer Invisalign for teens and adults that come with little or no pain.

Patients rating

Excelent
22
Very good
0
Average
0
Weak
0
Awful
0

Reviews about Family Cosmetic and Implant Dentistry of Brooklyn NY

Very great organization! I experienced great professionalism from the doctor and the staff. I am very happy with my new teeth. Highly recommend!

Great place for checkups and any dental work! The whole experience is very good. Nice new building, professional, personable and polite check-in experience, and very knowledgeable Doctors. Plus it's a family business so everyone knows everyone else very well, but they are always extremely professional. They accept many insurances and are willing to work with you and the insurance if necessary.

© Family Cosmetic and Implant Dentistry of Brooklyn NY All rights reserved

Partners and Sponsors

Copyright © 2024 DentaGama All rights reserved