What are peg teeth?

September 05, 2020


What are peg teeth?
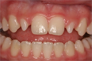
Peg tooth lateral incisor
Peg tooth treatment. Composite build-up for a pegged tooth
Pegged wisdom tooth
Peg incisors teeth

In humans, each tooth can be identified based on its characteristic shape and size. Right from birth till the time we turn adults, our body is genetically engineered in determining the dimensions of each tooth during each phase of life.

 

Each tooth has a normal value of its dimensions which is expressed in a range. When this range is compromised, teeth appear to be of a different shape and size, thereby contributing to an unaesthetic appearance. This change in dimensional values is majorly due to a congenital defect.

 

One such congenital anomaly is microdontia, where teeth are smaller than their actual size. A sub-type of microdontia is called peg teeth. As we know, "peg" means a small bolt or pin. Such peg shaped teeth are commonly seen in the permanent lateral incisors of the upper arch (second teeth from the midline). Except the lateral incisors, the teeth that commonly take a peg-shape are the upper third molars. Peg teeth are rarely seen in the lower arch.

 

The peg-shaped teeth take this form when the cells that are responsible for the formation of teeth lose their function due to genetic reasons. These disturbances can also be there if hormonal imbalance in the mother take place when the child is still in the womb. It is still difficult to ascertain one particular mechanism that can lead to the formation of peg teeth.

 

The reduction in the size of these teeth takes place from the line near the gums of the tooth to the upper tips of the tooth. This gives it a pointed appearance and resulting peg-shape which is often interpreted by many as "dracula teeth".

 

Pegged teeth can also occur due to an underlying condition. Some of these include ectodermal dysplasia, congenital syphilis and cleidocranial dysostosis. As dangerous these names sound, peg teeth are not that harmful. There are three main issues an individual can face due to a peg teeth.

 

Firstly, there is an associated aesthetic concern. An individual might refrain from smiling with the fear of getting himself tagged as the one with a dracula teeth. The overall reduction in the dimensions of peg teeth creates spaces in between the two adjacent teeth on either side which brings down the smile value. Secondly, in more severe cases a patient might develop an improper bite due to reduction in the tooth size. Thirdly, the reduced layer of protective tissue on the tooth is so thin in the peg teeth that patients might immediately develop sensitivity in that region.

 

The treatment of peg teeth includes a multidisciplinary approach. Depending on the extent of the reduced tooth size, a proper treatment plan is drawn and explained to the patient. Treatment involves restoring the bulk of the tooth with appropriate materials.

 

A composite cement material is often used to rebuild the peg tooth. This is a cement of tooth colour that can be applied on the peg tooth to restore its bulk. Another alternative is the application of porcelain veneers. These are sturdy materials that act as covers for your tooth. Moreover, since they are more aesthetic, they are the preferred choice of treatment for most dentists.

 

Dentists also recommend fabrication of crowns for peg teeth. These can come in tooth shaped colors and are a good alternative to porcelain veneers. The difference between veneers and crowns is that crowns encircle the entire tooth whereas veneers only cover the front facing surface of the tooth.

 

As mentioned before, peg teeth lead to gaps between the two adjacent teeth on either side resulting in an unaesthetic smile. An orthodontist can help in closure of this gap. This is done through braces which help in aligning the teeth and closing the space between two teeth.

 

If the peg tooth is too small that any veneer, crown or cement material is unable to restore its normal dimension, then dentists can give an option of extracting the tooth and replacing it with an implant or a prosthesis.

 

Peg teeth are not fatal in general. They are mainly an aesthetic concern and minorly affect the equilibrium of the oral cavity. But the treatment of such teeth has a better outcome the sooner it is diagnosed.

Comments

Be the first to comment on this article

Please register if you want to comment
 

Partners and Sponsors

Copyright © 2024 DentaGama All rights reserved