What is dens invaginatus or dens in dente?

October 12, 2016


What is dens invaginatus or dens in dente?
Dens in dente anatomical variations
Dens in dente on x-ray
Dens invaginatus on a cross sectioned tooth
Dens invaginatus is also known as dens in dente
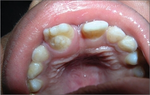
Dens in dente variations in the anatomy
Dens invaginatus on maxillary incisor
Dens invaginatus on x-ray
Dens in dente - dental joke
Dens in dente means 'tooth inside another tooth'

Dens invaginatus is considered as a dental anomaly, due to the developmental malformation of teeth. Synonyms of this condition include dilated gestant odontome, dens in dente, dilated composite odontome and invaginated odontome.


A broad spectrum of morphological variations is attributed to it. Typical signs of dens invaginatus deep include the infolding of enamel and dentine from the foramen caecum or even the tip of the tooth cusps. In some cases, the infolding may extend to the roots. This condition most affects the maxillary lateral incisors though other dentition may also be prone.
 

What is dens evaginatus?


The discovery of dens invaginatus was recorded by ‘Ploquet’ in 1794 in whale’s tooth. A documentation was found stating that an appearance of “a tooth within a tooth” by Salter in 1855. This occurrence was also described by a dentist named Socrates in 1856. Busch in 1897 called it ‘dens in dente’which implies the radiographic appearance of a tooth inside a tooth.


There are a couple of theories of aetiology of dens invaginatus. Popularly known is the growth strain of dental arch resulting in buckling of enamel organ. Rushton proposed that the invagination is an end result of a speedy and aggressive proliferation of a part of inner enamel epithelium invading the dental papilla. Previously, Kronfeld suggested that it results from a focal failure of increase of internal enamel epithelium. Oehlers considered that distortion of the enamel organ during teeth improvement and subsequent protrusion of part of the tooth organ will lead to the formation of a teeth-coated channel finishing at the cingulum or every so often at the incisal tip.


Due to the infolding of dental enamel, the thin layer that remains can easily be chipped off, causing irritants to be introduced to the tooth canal. Other reported sequelae of undiagnosed and untreated coronal invaginations are abscess formation, retention of neighboring teeth, displacement of teeth and cysts. Internal resorption and facial cellulitis are also symptoms that are recently diagnosed in research.


As detection of this dental condition might be rather tricky. Dentists would sometimes use methylene blue dye to observe abnormalities in the dental fissures indicating the infolding of dental enamel. Clinical identification of the invagination entrance can be difficult as entrances can be unremarkable and be similar to natural fissures.


Once the anomaly has been identified, it is crucial for constant monitoring to prevent pulp necrosis or undesired outcome from happening to that tooth. Gustafson and Sundberg discussed trauma as a causative component. Hence, the patient should be notified and reminded to take such precaution.


Whenever an invagination has been identified, base-line vitality test readings ought to be taken to get current pulpal status. In cases where pathological ailment is still absent, the instigation of suitable prophylactic measures can be carried out. Over the years, there has been an extended form of techniques endorsed for preventive treatment.


The procedure scope for patients having dens invaginatus are

1) Prophylactic or preventive sealing of the invagination

2) Intentional replantation

3) Endodontic apical surgery

4) Root canal treatment

5) Extraction


Root canal treatment might turn out into a complicated procedure due to the complexity of tooth anatomy for that particular dentition. As the morphology of these teeth is complex. Though if the patient is motivated to keep the tooth functional and problem free, an endodontist can be consulted to manage the treatment.


Surgical treatment can also be considered in cases of endodontic failure and in teeth which cannot be non-surgically treated due to anatomical problems or inability to gain access to all parts of the root canal system. If root canal treatment is not possible then, extraction is recommended, and prosthetic replacement is done. Extraction is advocated when abnormal crown morphology presents aesthetic or functional problems.
 

Comments

Be the first to comment on this article

Please register if you want to comment
 

Partners and Sponsors

Copyright © 2024 DentaGama All rights reserved