What is Tooth Cupping?

May 24, 2019


What is Tooth Cupping?
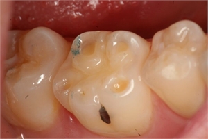
Tooth cupping is a form of enamel wear appearing like small indentations in the occlusal surface of the tooth
Tooth cupping is occlusal wear forming small cups in the chewing surface of the teeth
Overall occlusal wear, called teeth cupping
Tooth cupping wear caused by acid gastroesophageal reflux disease (GERD)

Tooth cupping, or dental cupping, happens when the enamel and dentin that protect the outside of your teeth are worn down. Any damage to your tooth’s enamel is known as erosion, but tooth cupping is a particularly rare form of erosion. Tooth cupping occurs when enamel erosion actually turns into small dents or “cups” in your teeth.

Enamel, the hardest tissue in the human body, is a thin outer covering that protects your tooth. This covering is important because it protects your teeth from daily wear and tear caused from chewing, biting and grinding. Enamel is also a key player in protecting the nerves in your teeth from extreme temperatures and dangerous chemicals.


What causes erosion and tooth cupping?

 

Natural erosion is caused by the acids in your mouth, but it can be exacerbated with poor oral care. Here are some of the most common factors that cause tooth erosion:

 

• Wine: Wine has strong acids and lots of sugar, both of which will soften your enamel.


• Fruit juice: Fruit juice has about the same amount of sugar as a soda, and some types, such as lemon, cranberry, orange and apple are highly acidic.


• Dry mouth: Dry mouth often occurs with prescription medication, and lowers the pH of your mouth. Since saliva levels are lower than normal, acids are less diluted and can cause more damage to your teeth.


• Stomach acid: Vomiting and acid reflux can cause severe tooth damage because stomach acid comes into contact with your tooth enamel.

 

How to prevent tooth cupping?

 

• Don’t snack between meals: This will reduce the contact of the acid from acidic foods with your teeth to mealtimes. The acid is also neutralized when eaten with other foods.


• Drink water while and after you eat: Water can help wash the acid out of your mouth and away from your teeth.


• Use a straw: Reduce the contact of acidic and sugary beverages with your teeth by drinking through a straw.


• Avoid high-sugar drinks: Read nutrition labels to make sure you are keeping your sugar consumption down.


• Wait before brushing after eating: The acid from the food you eat softens your tooth’s enamel, so if you brush immediately after you eat, you can actually cause more damage to your enamel. Wait at least half an hour until brushing after eating.


 
How to fix tooth cupping?

 

If you experience enamel erosion or tooth cupping, it can be fixed by bonding to protect the damaged tooth, and cover other teeth that show wear. More severely eroded teeth may require crowns to protect from further damage.


Difference between tooth wear and abrasion

 

Due to pain, sensitivity or breakage, you may notice that your teeth are experiencing some wear throughout the years. This, however, doesn’t necessarily indicate erosion of the enamel. There are four types of tooth wear, listed below in order of severity, the last one being the most severe:

 

What is the difference between dental attrition, abfraction, erosion and abrasion?

 

Attrition: Attrition the natural wearing away of enamel over time due to your teeth rubbing together.


• Abrasion: This is the result of outside force such as aggressive brushing or chewing on particularly hard items.


• Erosion: Erosion is damage caused by the acids in your mouth.


• Abfraction: Abfraction is caused by grinding your teeth or clenching your jaw and can cause chips and notches in your teeth.

Comments

Be the first to comment on this article

Please register if you want to comment
 

Partners and Sponsors

Copyright © 2024 DentaGama All rights reserved