Trench mouth - acute necrotizing ulcerative gingivitis (ANUG)

April 29, 2018


Trench mouth - acute necrotizing ulcerative gingivitis (ANUG)
Trench mouth is also known as Vincent stomatitis and acute necrotizing ulcerative gingivitis - ANUG.
ANUG - acute necrotizing ulcerative gingivitis. It is also known as trench mouth.
ANUG - trench mouth
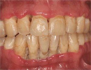
Trench mouth is an acute inflammation of the gums caused by bacteria. It has a sudden onset and is characterized by swollen, painful and bleeding gums and ulcers on the attached gingiva.
Trench mouth is also known as Vincent stomatitis. It is a treatable dental condition caused by pathogenic bacteria.
Vincent stomatitis, also known as Trench mouth or ANUG, is a treatable dental disease. Treatment involves dental cleaning, scale and polish procedures, scaling and root planning and courses of antibiotics.

Trench mouth, also known as Vincent stomatitis or accute necrotizing ulcerative gingivitis - ANUG, is a rapidly progressing but treatable bacterial infection of the gums. It is a rare and serious condition most commonly seen in teenagers and young adults in underdeveloped areas with poor living conditions and nutrition. It was termed 'trench mouth' after the experience during the World War I when the soldiers, who were stationed in the trenches, were the most remarkably affected with the infection due to scarcity of dental supplies and poor oral hygiene.


Normally, there is a certain resident microbiota in the mouth. However, with poor oral hygiene, other existing oral infections, and smoking, excessive growth of bacteria in the mouth will lead to the development of infections. This can also be aggravated by risk factors like emotional stress, poor nutrition, lack of rest and sleep, weakened immune system and other comorbidities.


Symptoms of trench mouth usually start with red and swollen gums which bleed easily and cause pain even when talking, eating and swallowing. Mouth ulcers then develop on the gums between teeth and along the gum lines. A layer of gray film from decomposed necrotic gum tissue will appear and cover the gums. Intra-oral halitosis (bad breath), bad metallic taste and pasty saliva will also be evident. Other non-dental and systemic symptoms include pyrexia (fever), body malaise (fatigue) and swollen cervical lymph nodes (lymph nodes found in the neck).


Immediate diagnosis should be done to prevent exacerbation of the condition and development of complications like tooth loss, due to rapid damage of gum tissue and erosion of bone support.. Along with thorough clinical examination of your teeth and gums, your dentist will order blood tests to determine what type of bacteria is causing the infection and to rule out the possibility of systemic and immunodeficiency disease. Also, x-ray of your mouth and face may be necessary to ascertain whether the infection has spread further.


Treatment of trench mouth generally involves antibiotics, antibacterial mouth rinse, antipyretic (fever medication), analgesic (pain medication) and thorough cleaning of your teeth, irrigation, debridement of necrotic gum tissue by your dentist and further deep cleaning treatment below the gum line by your periodontist. Strict compliance to the antibiotic therapy regimen as ordered by your dentist is vital to ensure complete recuperation and prevent relapse. Anti-pyretic medication can be taken if fever is present and every four hours thereafter until fever subsides. Pain medication in the form of pill or mouth rinse can also be taken to reduce and eliminate pain. Your dentist will constantly monitor your progress so make sure you visit the dentist on every scheduled follow-up consultation.


Follow good oral hygiene and habits to prevent trench mouth and other oral infections and complications. Brush your teeth, ideally using an electric toothbrush, after every meal and follow up with flossing. Avoid smoking and frequent eating of spicy foods and sweet candies, eat a healthy and balanced diet, drink 2-3 liters of water per day and refrain from stressful activities. Also, visit your dentist at least every 6 months for professional dental cleaning (scale and polish procedure).

Comments

Be the first to comment on this article

Please register if you want to comment
 

Partners and Sponsors

Copyright © 2024 DentaGama All rights reserved