What is the difference between hyperdontia, hypodontia, oligodontia and anodontia?

April 24, 2018


What is the difference between hyperdontia, hypodontia, oligodontia and anodontia?
Anodontia is a dental condition of having no teeth at all
Anodontia is a condition of missing all of the deciduous or permanent teeth
Dental anodontia - having no teeth
Hyperdontia is having extra teeth in the mouth. Synonym for hyperdontia is supernumerary teeth
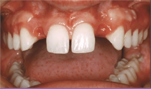
Hypodontia - missing lateral incisors with a closed space.
Hypodontia - most commonly missing teeth are the wisdom teeth and lateral incisors
Hypodontia is missing 1 to 6 permanent or baby teeth
Hypodontia - the canines are erupting but the arrows show no presence of the lateral incisors
Hypodontia is a dental condition of having less teeth than normal
Oligodontia
Oligodontia is a dental condition of having less teeth (more than 6)
Dental oligodontia
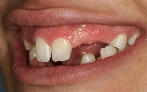
Patient with oligodontia - lateral view
Patient with dental oligodontia - lateral view
Oligodontia in dentistry
Anodontia means having no permanent or no deciduous (baby) teeth.
What is oligodontia?

The standard number of deciduous (primary) teeth is 20 and the standard number of permanent (secondary) teeth is 32, including the third molars. But sometimes teeth do not form, or too many teeth form. And while these conditions may seem completely bizarre to some, with a reported prevalence between 3% and 7% of the population, they are more common than you might think. Here are some characterizations of these anomalies and what can be done to correct them.

 

What is hyperdontia?


This condition is characterized by having an excess amount of teeth. A person who develops more than 20 primary teeth or 32 secondary teeth has hyperdontia. Health and dental professionals refer to these extra teeth as supernumerary teeth. They can occur in both the maxillary (upper) and mandibular (lower) dental arch, but the most common occurrences are secondary upper anterior incisors. Next most common are maxillary and mandibular third molars (wisdom teeth).

 

What causes hyperdontia?


Possible causes include genetics, environmental factors, and over activity of dental lamina (zone of cells that initiates tooth germ formation) during tooth development. Common risk factors for hyperdontia include a variety of syndromes or conditions such as Gardner syndrome, Ehler-Danlos syndrome, and cleft lip and palate.

 

What are the risks of hyperdontia?


Additional teeth can result in both functional and cosmetic problems for the individual. Supernumerary teeth can cause significant crowding or delayed eruption of adjacent teeth. If retained, supernumerary teeth can also lead to the development of tumors or cysts.

 

What is the treatment for hyperdontia?


As with most oral health conditions, it is important to detect and evaluate hyperdontia as soon as possible. Treatment generally involves the removal of supernumerary teeth where possible.

 

What is hypodontia, oligodontia and anodontia?


Of all dentofacial malformations in humans, hypodontia is most prevalent. This is a condition where one to five teeth do not develop, excluding wisdom teeth. These types of anomalies are also known as tooth agenesis, aplasia of teeth, or congenitally missing teeth. Most affected patients have only one or two missing teeth, with the most common being permanent second premolars and upper lateral incisors. Though rare, there is also an association between hypodontia in primary teeth and corresponding successor teeth. More severe forms of tooth agenesis are classified as oligodontia, the absence of six or more permanent teeth, and anodontia, the absence of all primary or permanent teeth.

 

What causes tooth agenesis?

 

Again, there are several possibilities, but the most common causes seem to be genetic. Tooth agenesis is often nonsyndromic, but it can be associated with genetic disorders like cleft lip or cleft palate, ectodermal dysplasia, or Down syndrome. Tooth agenesis may also stem from environmental factors like trauma, exposure to chemotherapy, allergies, radiation, polychlorinated biphenyls (PCB’s), and toxic epidermal necrolysis. Some patients experience hypodontia, oligodontia, or anodontia following severe illnesses like candida and rubella. And children with low birth weight have an increased risk of congenitally missing teeth as well.

 

What are the risks of tooth agenesis?


Microdontia, where teeth appear smaller than normal, is a widely reported risk of hypodontia. Another common feature of tooth agenesis includes delay in tooth development. The lack of a permanent successor delays the root resorption of primary teeth, and the patient can retain the deciduous tooth for 40 or 50 years. There is also an association between hypodontia and taurodontism, short roots of permanent teeth, typically lower first molars. Some other risks include ectopic eruption of permanent teeth, transposition of teeth, and enamel hypoplasia.

 

What is the difference between microdontia and macrodontia?

 

In short, the difference between these dental conditions, is the size of the teeth. In microdontia the tooth is smaller than an average sized tooth and in macrodontia the tooth is over enlarged.

 

What is the treatment for hypodontia, oligodontia and anodontia?


There is no way to force a patient’s mouth to grow more teeth. Instead practitioners find ways to replace or disguise missing teeth. The easiest condition to correct is one or two missing teeth. Dental professionals can use orthodontics to shift remaining teeth and fill the gaps for missing teeth.

 

But patients missing more teeth often require more than just orthodontics. The most permanent treatment options are dental implants. Here the dentist places a titanium rod rooted to the jawbone and tops it with a crown. Dental implants will look and function just like natural teeth.

 

The next best permanent treatment is a dental bridge. The dentist files down the two neighboring teeth and tops them with crowns bridged by a fake tooth in the middle. If a bridge is not sufficient patients may opt instead for partial or full dentures to replace missing teeth. But this is a more temporary solution.

 

Treatment ultimately depends on the number and location of congenitally missing teeth, as well as the features of other erupted teeth. Other considerations include the patient’s age, the degree of crowding or spacing, the state of deciduous or permanent teeth, and other patient circumstances. A specialist versed in dentofacial malformations will be able to help you determine the best course of action for each specific situation.

Comments

Be the first to comment on this article

Please register if you want to comment
 

Partners and Sponsors

Copyright © 2024 DentaGama All rights reserved